提醒成功

搜索
Rabbit Polyclonal Antibody to COQ9
-
货号:
P30574 -
别名:
Ubiquinone biosynthesis protein COQ9, mitochondrial, COQ9, C16orf49 -
应用:
WB,IHC-P,FCM -
反应种属:
Human, Mouse -
抗体类型:
Primary antibody -
Swissprot:
O75208 -
规格:
-
数量:
-+ -
说明书:
目录价¥1980

Rabbit Polyclonal Antibody to COQ9
Description |
---|
Coenzyme Q10 (CoQ10), or ubiquinone, is a mobile lipophilic electron carrier critical for electron transfer by the mitochondrial inner membrane respiratory chain. COQ9 is 1 of several enzymes involved in biosynthesis of CoQ10 and likely functions in modification of the benzoquinone ring. |
Specification |
|
---|---|
Aliases | Ubiquinone biosynthesis protein COQ9, mitochondrial, COQ9, C16orf49 |
Entrez GeneID | 57017 |
Swissprot | O75208 |
WB Predicted band size | 35.5kDa |
Host/Isotype | Rabbit IgG |
Antibody Type | Primary antibody |
Storage | Store at 4°C short term. Aliquot and store at -20°C long term. Avoid freeze/thaw cycles. |
Species Reactivity | Human, Mouse |
Immunogen | This COQ9 antibody is generated from rabbits immunized with a KLH conjugated synthetic peptide between 156-184 amino acids from the Central region of human COQ9. |
Formulation | Purified antibody in PBS with 0.05% sodium azide. |
Application |
|
---|---|
WB | 1/1000 |
IHC | 1/100-1/500 |
FCM | 1/10-1/50 |
Product Image
- Western blot analysis of COQ9 Antibody (Center) (Cat. #P30574) in mouse heart tissue lysates (35ug/lane). COQ9 (arrow) was detected using the purified Pab.
- COQ9 Antibody (Center) (Cat. #P30574) flow cytometric analysis of NCI-H460 cells (right histogram) compared to a negative control cell (left histogram).FITC-conjugated goat-anti-rabbit secondary antibodies were used for the analysis.
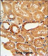
- COQ9 Antibody (Center) (Cat. #P30574) immunohistochemistry analysis in formalin fixed and paraffin embedded human lung tissue followed by peroxidase conjugation of the secondary antibody and DAB staining. This data demonstrates the use of the COQ9 Antibody (Center) for immunohistochemistry. Clinical relevance has not been evaluated.
For Reseach Only
Application Key:WB - Western Blot | IHC - Immunohistochemistry | ICC - Immunocytochemistry | FCM - Flow Cytometry | ELISA - Enzyme-linked Immunosorbent Assay | IP - Immunoprecipitation
#P30574

相关产品


