提醒成功

搜索
Rabbit Polyclonal Antibody to TXNDC12
-
货号:
P30572 -
别名:
Thioredoxin domain-containing protein 12, Endoplasmic reticulum resident protein 18, ER protein 18, ERp18, Endoplasmic reticulum resident protein 19, ER protein 19, ERp19, Thioredoxin-like protein p19, hTLP19, TXNDC12, TLP19 -
应用:
WB,IHC-P -
反应种属:
Human, Mouse, Rat -
抗体类型:
Primary antibody -
Swissprot:
O95881 -
规格:
-
数量:
-+ -
说明书:
目录价¥1980

Rabbit Polyclonal Antibody to TXNDC12
Description |
---|
TXNDC12 belongs to the thioredoxin superfamily (see TXN; MIM 187700). Members of this superfamily possess a thioredoxin fold with a consensus active-site sequence (CxxC) and have roles in redox regulation, defense against oxidative stress, refolding of disulfide-containing proteins, and regulation of transcription factors |
Specification |
|
---|---|
Aliases | Thioredoxin domain-containing protein 12, Endoplasmic reticulum resident protein 18, ER protein 18, ERp18, Endoplasmic reticulum resident protein 19, ER protein 19, ERp19, Thioredoxin-like protein p19, hTLP19, TXNDC12, TLP19 |
Entrez GeneID | 51060 |
Swissprot | O95881 |
WB Predicted band size | 19.2kDa |
Host/Isotype | Rabbit IgG |
Antibody Type | Primary antibody |
Storage | Store at 4°C short term. Aliquot and store at -20°C long term. Avoid freeze/thaw cycles. |
Species Reactivity | Human, Mouse, Rat |
Immunogen | This TXNDC12 antibody is generated from rabbits immunized with a KLH conjugated synthetic peptide between 144-172 amino acids from the C-terminal region of human TXNDC12. |
Formulation | Purified antibody in PBS with 0.05% sodium azide. |
Application |
|
---|---|
WB | 1/1000 |
IHC | 1/100-1/500 |
Product Image
- Western blot analysis of TXNDC12 Antibody (C-term) (Cat. #P30572) in Y79 cell line lysates (35ug/lane). TXNDC12 (arrow) was detected using the purified Pab.
- Western blot analysis of TXNDC12 Antibody (C-term) (Cat. #P30572) in mouse stomach tissue lysates (35ug/lane). TXNDC12 (arrow) was detected using the purified Pab.
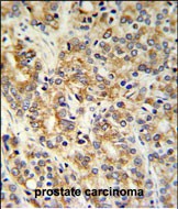
- TXNDC12 Antibody (C-term) (Cat. #P30572) IHC analysis in formalin fixed and paraffin embedded prostate carcinoma followed by peroxidase conjugation of the secondary antibody and DAB staining. This data demonstrates the use of the TXNDC12 Antibody (C-term) for immunohistochemistry. Clinical relevance has not been evaluated.
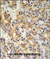
- TXNDC12 Antibody (C-term) (Cat. #P30572) IHC analysis in formalin fixed and paraffin embedded prostate carcinoma followed by peroxidase conjugation of the secondary antibody and DAB staining. This data demonstrates the use of the TXNDC12 Antibody (C-term) for immunohistochemistry. Clinical relevance has not been evaluated.
For Reseach Only
Application Key:WB - Western Blot | IHC - Immunohistochemistry | ICC - Immunocytochemistry | FCM - Flow Cytometry | ELISA - Enzyme-linked Immunosorbent Assay | IP - Immunoprecipitation
#P30572

相关产品


