提醒成功

搜索
Rabbit Polyclonal Antibody to C19orf21 (N-term)
-
货号:
P30571 -
别名:
Mitotic interactor and substrate of PLK1, Mitotic spindle positioning protein, MISP, C19orf21 -
应用:
WB,IHC-P,FCM -
反应种属:
Human -
抗体类型:
Primary antibody -
Swissprot:
Q8IVT2 -
规格:
-
数量:
-+ -
说明书:
目录价¥1980

Rabbit Polyclonal Antibody to C19orf21 (N-term)
Description |
---|
The exact function of C19orf21 remains unknown. |
Specification |
|
---|---|
Aliases | Mitotic interactor and substrate of PLK1, Mitotic spindle positioning protein, MISP, C19orf21 |
Entrez GeneID | 126353 |
Swissprot | Q8IVT2 |
WB Predicted band size | 75.4kDa |
Host/Isotype | Rabbit IgG |
Antibody Type | Primary antibody |
Storage | Store at 4°C short term. Aliquot and store at -20°C long term. Avoid freeze/thaw cycles. |
Species Reactivity | Human |
Immunogen | This C19orf21 antibody is generated from rabbits immunized with a KLH conjugated synthetic peptide between 63-91 amino acids from the N-terminal region of human C19orf21. |
Formulation | Purified antibody in PBS with 0.05% sodium azide. |
Application |
|
---|---|
WB | 1/1000 |
IHC | 1/100-1/500 |
FCM | 1/10-1/50 |
Product Image
- Western blot analysis of C19orf21 Antibody (N-term) (Cat. #P30571) in HepG2 cell line lysates (35ug/lane). C19orf21 (arrow) was detected using the purified Pab.
- C19orf21 Antibody (N-term) (Cat. #P30571) flow cytometric analysis of HepG2 cells (right histogram) compared to a negative control cell (left histogram).FITC-conjugated goat-anti-rabbit secondary antibodies were used for the analysis.
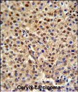
- C19orf21 Antibody (N-term) (Cat. #P30571) IHC analysis in formalin fixed and paraffin embedded human cervix carcinoma followed by peroxidase conjugation of the secondary antibody and DAB staining. This data demonstrates the use of the C19orf21 Antibody (N-term) for immunohistochemistry. Clinical relevance has not been evaluated.
For Reseach Only
Application Key:WB - Western Blot | IHC - Immunohistochemistry | ICC - Immunocytochemistry | FCM - Flow Cytometry | ELISA - Enzyme-linked Immunosorbent Assay | IP - Immunoprecipitation
#P30571

相关产品


