提醒成功

搜索
Rabbit Polyclonal Antibody to PLA2G7
-
货号:
P30549 -
别名:
Platelet-activating factor acetylhydrolase, PAF acetylhydrolase, 1-alkyl-2-acetylglycerophosphocholine esterase, 2-acetyl-1-alkylglycerophosphocholine esterase, Group-VIIA phospholipase A2, gVIIA-PLA2, LDL-associated phospholipase A2, LDL-PLA(2), PAF 2-acylhydrolase, PLA2G7, PAFAH -
应用:
WB,IHC-P,FCM -
反应种属:
Human, Mouse -
抗体类型:
Primary antibody -
Swissprot:
Q13093 -
规格:
-
数量:
-+ -
说明书:
目录价¥1980

Rabbit Polyclonal Antibody to PLA2G7
Description |
---|
The protein encoded by this gene is a secreted enzyme that catalyzes the degradation of platelet-activating factor to biologically inactive products. Defects in this gene are a cause of platelet-activating factor acetylhydrolase deficiency. |
Specification |
|
---|---|
Aliases | Platelet-activating factor acetylhydrolase, PAF acetylhydrolase, 1-alkyl-2-acetylglycerophosphocholine esterase, 2-acetyl-1-alkylglycerophosphocholine esterase, Group-VIIA phospholipase A2, gVIIA-PLA2, LDL-associated phospholipase A2, LDL-PLA(2), PAF 2-acylhydrolase, PLA2G7, PAFAH |
Entrez GeneID | 7941 |
Swissprot | Q13093 |
WB Predicted band size | 50.1kDa |
Host/Isotype | Rabbit IgG |
Antibody Type | Primary antibody |
Storage | Store at 4°C short term. Aliquot and store at -20°C long term. Avoid freeze/thaw cycles. |
Species Reactivity | Human, Mouse |
Immunogen | This PLA2G7 antibody is generated from rabbits immunized with a KLH conjugated synthetic peptide between 200-228 amino acids from the Central region of human PLA2G7. |
Formulation | Purified antibody in PBS with 0.05% sodium azide. |
Application |
|
---|---|
WB | 1/1000 |
IHC | 1/100-1/500 |
FCM | 1/10-1/50 |
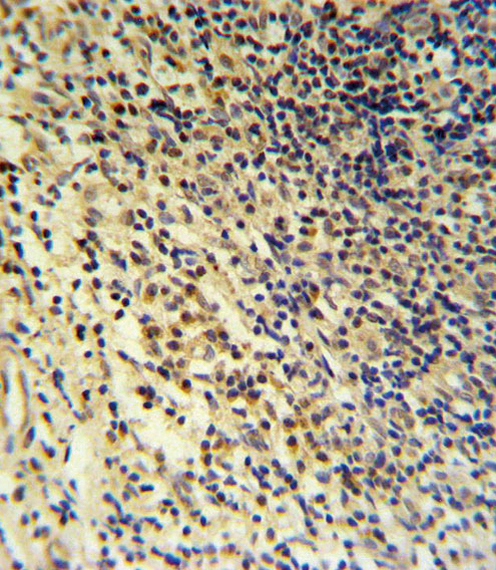
Product Image
- Western blot analysis of PLA2G7 Antibody (Center) (Cat. #P30549) in HL-60 cell line lysates (35ug/lane). PLA2G7 (arrow) was detected using the purified Pab.
- PLA2G7 Antibody (Center) (Cat. #P30549) flow cytometric analysis of HL-60 cells (right histogram) compared to a negative control cell (left histogram).FITC-conjugated goat-anti-rabbit secondary antibodies were used for the analysis.
- PLA2G7 Antibody (Center) (Cat. #P30549) IHC analysis in formalin fixed and paraffin embedded tonsil followed by peroxidase conjugation of the secondary antibody and DAB staining. This data demonstrates the use of the PLA2G7 Antibody (Center) for immunohistochemistry. Clinical relevance has not been evaluated.
For Reseach Only
Application Key:WB - Western Blot | IHC - Immunohistochemistry | ICC - Immunocytochemistry | FCM - Flow Cytometry | ELISA - Enzyme-linked Immunosorbent Assay | IP - Immunoprecipitation
#P30549

相关产品


