提醒成功

搜索
Rabbit Polyclonal Antibody to SGMS2
-
货号:
P30547 -
别名:
Phosphatidylcholine:ceramide cholinephosphotransferase 2, Sphingomyelin synthase 2, SGMS2, SMS2 -
应用:
WB,IHC-P,FCM -
反应种属:
Human -
抗体类型:
Primary antibody -
Swissprot:
Q8NHU3 -
规格:
-
数量:
-+ -
说明书:
目录价¥1980

Rabbit Polyclonal Antibody to SGMS2
Description |
---|
Sphingomyelin, a major component of cell and Golgi membranes, is made by the transfer of phosphocholine from phosphatidylcholine onto ceramide, with diacylglycerol as a side product. The protein encoded by this gene is an enzyme that catalyzes this reaction primarily at the cell membrane. The synthesis is reversible, and this enzyme can catalyze the reaction in either direction. The encoded protein is required for cell growth. Three transcript variants encoding the same protein have been found for this gene. |
Specification |
|
---|---|
Aliases | Phosphatidylcholine:ceramide cholinephosphotransferase 2, Sphingomyelin synthase 2, SGMS2, SMS2 |
Entrez GeneID | 166929 |
Swissprot | Q8NHU3 |
WB Predicted band size | 42.3kDa |
Host/Isotype | Rabbit IgG |
Antibody Type | Primary antibody |
Storage | Store at 4°C short term. Aliquot and store at -20°C long term. Avoid freeze/thaw cycles. |
Species Reactivity | Human |
Immunogen | This SGMS2 antibody is generated from rabbits immunized with a KLH conjugated synthetic peptide between 338-365 amino acids from the C-terminal region of human SGMS2. |
Formulation | Purified antibody in PBS with 0.05% sodium azide. |
Application |
|
---|---|
WB | 1/1000 |
IHC | 1/100-1/500 |
FCM | 1/10-1/50 |
Product Image
- SGMS2 Antibody (C-term) (Cat. #P30547) western blot analysis in MCF-7,CEM,NCI-H460 cell line lysates (35ug/lane).This demonstrates the SGMS2 antibody detected the SGMS2 protein (arrow).
- SGMS2 Antibody (C-term) (Cat. #P30547) flow cytometric analysis of MCF-7 cells (right histogram) compared to a negative control cell (left histogram).FITC-conjugated goat-anti-rabbit secondary antibodies were used for the analysis.
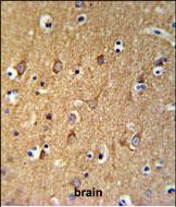
- SGMS2 Antibody (C-term) (Cat. #P30547) IHC analysis in formalin fixed and paraffin embedded brain tissue followed by peroxidase conjugation of the secondary antibody and DAB staining. This data demonstrates the use of the SGMS2 Antibody (C-term) for immunohistochemistry. Clinical relevance has not been evaluated.
For Reseach Only
Application Key:WB - Western Blot | IHC - Immunohistochemistry | ICC - Immunocytochemistry | FCM - Flow Cytometry | ELISA - Enzyme-linked Immunosorbent Assay | IP - Immunoprecipitation
#P30547

相关产品


