提醒成功
搜索
Rabbit Polyclonal Antibody to DMC1 (N-term)
-
货号:
P30492 -
别名:
Meiotic recombination protein DMC1/LIM15 homolog, DMC1, DMC1H, LIM15 -
应用:
WB,IHC-P,FCM -
反应种属:
Human -
抗体类型:
Primary antibody -
Swissprot:
Q14565 -
规格:
-
数量:
-+ -
说明书:
目录价¥1980
Rabbit Polyclonal Antibody to DMC1 (N-term)
Description |
|---|
DMC1 is essential for meiotic homologous recombination. Genetic recombination in meiosis plays an important role in generating diversity of genetic information. The product of this protein is structurally and evolutionary related to the products of the yeast RAD51 and E. coli RecA genes. |
Specification |
|
|---|---|
| Aliases | Meiotic recombination protein DMC1/LIM15 homolog, DMC1, DMC1H, LIM15 |
| Entrez GeneID | 11144 |
| Swissprot | Q14565 |
| WB Predicted band size | 37.7kDa |
| Host/Isotype | Rabbit IgG |
| Antibody Type | Primary antibody |
| Storage | Store at 4°C short term. Aliquot and store at -20°C long term. Avoid freeze/thaw cycles. |
| Species Reactivity | Human |
| Immunogen | This DMC1 antibody is generated from rabbits immunized with a KLH conjugated synthetic peptide between 1-30 amino acids from the N-terminal region of human DMC1. |
| Formulation | Purified antibody in PBS with 0.05% sodium azide. |
Application |
|
|---|---|
| WB | 1/1000 |
| IHC | 1/100-1/500 |
| FCM | 1/10-1/50 |
Product Image
- Western blot analysis of DMC1 Antibody (N-term) (Cat. #P30492) in MDA-MB435 cell line lysates (35ug/lane). DMC1 (arrow) was detected using the purified Pab.
- DMC1 Antibody (N-term) (Cat. #P30492) flow cytometric analysis of CEM cells (bottom histogram) compared to a negative control cell (top histogram).FITC-conjugated goat-anti-rabbit secondary antibodies were used for the analysis.
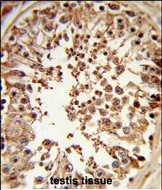
- Formalin-fixed and paraffin-embedded human testis tissue reacted with DMC1 Antibody (N-term), which was peroxidase-conjugated to the secondary antibody, followed by DAB staining. This data demonstrates the use of this antibody for immunohistochemistry; clinical relevance has not been evaluated.
For Reseach Only
Application Key:WB - Western Blot | IHC - Immunohistochemistry | ICC - Immunocytochemistry | FCM - Flow Cytometry | ELISA - Enzyme-linked Immunosorbent Assay | IP - Immunoprecipitation
#P30492
相关产品

微信/QQ登录


首页
