提醒成功
搜索
Rabbit Polyclonal Antibody to CA5B
-
货号:
P30489 -
别名:
Carbonic anhydrase 5B, mitochondrial, Carbonate dehydratase VB, Carbonic anhydrase VB, CA-VB, CA5B -
应用:
WB,IHC-P,FCM -
反应种属:
Human, Mouse -
抗体类型:
Primary antibody -
Swissprot:
Q9Y2D0 -
规格:
-
数量:
-+ -
说明书:
目录价¥1980
Rabbit Polyclonal Antibody to CA5B
Description |
|---|
CA5B belongs a large family of zinc metalloenzymes that catalyze the reversible hydration of carbon dioxide. This protein is localized in the mitochondria and shows the highest sequence similarity to the other mitochondrial CA, CA VA. The protein has a wider tissue distribution than CA VA, which is restricted to the liver. |
Specification |
|
|---|---|
| Aliases | Carbonic anhydrase 5B, mitochondrial, Carbonate dehydratase VB, Carbonic anhydrase VB, CA-VB, CA5B |
| Entrez GeneID | 11238 |
| Swissprot | Q9Y2D0 |
| WB Predicted band size | 36.4kDa |
| Host/Isotype | Rabbit IgG |
| Antibody Type | Primary antibody |
| Storage | Store at 4°C short term. Aliquot and store at -20°C long term. Avoid freeze/thaw cycles. |
| Species Reactivity | Human, Mouse |
| Immunogen | This CA5B antibody is generated from rabbits immunized with a KLH conjugated synthetic peptide between 253-283 amino acids from the C-terminal region of human CA5B. |
| Formulation | Purified antibody in PBS with 0.05% sodium azide,1%BSA and 50% glycerol.prepared by Saturated Ammonium Sulfate (SAS) . |
Application |
|
|---|---|
| WB | 1/1000 |
| IHC | 1/100-1/500 |
| FCM | 1/10-1/50 |
Product Image
- Western blot analysis of CA5B Antibody (C-term) (Cat. #P30489) in mouse liver tissue lysates (35ug/lane). CA5B (arrow) was detected using the purified Pab.
- CA5B Antibody (C-term) (Cat. #P30489) flow cytometric analysis of HL-60 cells (right histogram) compared to a negative control cell (left histogram).FITC-conjugated goat-anti-rabbit secondary antibodies were used for the analysis.
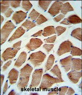
- CA5B Antibody (C-term) (Cat. #P30489) IHC analysis in formalin fixed and paraffin embedded human skeletal muscle followed by peroxidase conjugation of the secondary antibody and DAB staining. This data demonstrates the use of the CA5B Antibody (C-term) for immunohistochemistry. Clinical relevance has not been evaluated.
For Reseach Only
Application Key:WB - Western Blot | IHC - Immunohistochemistry | ICC - Immunocytochemistry | FCM - Flow Cytometry | ELISA - Enzyme-linked Immunosorbent Assay | IP - Immunoprecipitation
#P30489
相关产品

微信/QQ登录


首页
