提醒成功
搜索
Mouse Monoclonal Antibody to CD34
-
货号:
P30487 -
别名:
Hematopoietic progenitor cell antigen CD34, CD34, CD34 -
应用:
WB,IHC-P -
反应种属:
Human -
抗体类型:
Primary antibody -
Swissprot:
P28906 -
规格:
-
数量:
-+ -
说明书:
目录价¥2180
Mouse Monoclonal Antibody to CD34
Description |
|---|
CD34 is a monomeric cell surface antigen with a molecular mass of approximately 110 kD that is selectively expressed on human hematopoietic progenitor cells. |
Specification |
|
|---|---|
| Aliases | Hematopoietic progenitor cell antigen CD34, CD34, CD34 |
| Entrez GeneID | 947 |
| Swissprot | P28906 |
| WB Predicted band size | 40.7kDa |
| Host/Isotype | Mouse IgG1 |
| Antibody Type | Primary antibody |
| Storage | Store at 4°C short term. Aliquot and store at -20°C long term. Avoid freeze/thaw cycles. |
| Species Reactivity | Human |
| Immunogen | This CD34 antibody is generated from mice immunized with a KLH conjugated synthetic peptide between 185-214 amino acids from the Central region of human CD34. |
| Formulation | Purified antibody in TBS with 0.05% sodium azide. |
Application |
|
|---|---|
| WB | 1/1000 |
| IHC | 1/1000 |
Product Image
- Anti-CD34 Antibody (Center) at 1:1000 dilution + NIH/3T3 whole cell lysate Secondary Goat Anti-mouse IgG, (H+L),Peroxidase conjugated at 1/10000 dilution. Predicted band size : 40716 Da Blocking/Dilution buffer: 5% NFDM/TBST.
- Immunohistochemical analysis of paraffin-embedded human appendix tissue using P30487 performed on the Leica? BOND RXm. Tissue was fixed with formaldehyde at room temperature; antigen retrieval was by heat mediation with a EDTA buffer (pH9. 0). Samples were incubated with primary antibody (1:1000) for 1 hours at room temperature. A undiluted biotinylated CRF Anti-Polyvalent HRP Polymer antibody was used as the secondary antibody.
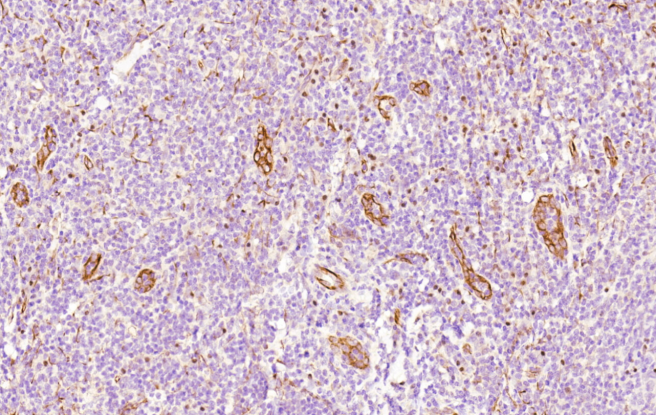
- Immunohistochemical analysis of paraffin-embedded Human tonsil section using Pink1(Cat#P30487). P30487 was diluted at 1:1000 dilution. A undiluted biotinylated goat polyvalent antibody was used as the secondary, followed by DAB staining.
For Reseach Only
Application Key:WB - Western Blot | IHC - Immunohistochemistry | ICC - Immunocytochemistry | FCM - Flow Cytometry | ELISA - Enzyme-linked Immunosorbent Assay | IP - Immunoprecipitation
#P30487
相关产品

微信/QQ登录


首页
