提醒成功
搜索
Rabbit Polyclonal Antibody to T150A
-
货号:
P30486 -
别名:
Transmembrane protein 150A, Transmembrane protein 150, TMEM150A, TMEM150 -
应用:
WB,IHC-P,FCM -
反应种属:
Human -
抗体类型:
Primary antibody -
Swissprot:
Q86TG1 -
规格:
-
数量:
-+ -
说明书:
目录价¥1980
Rabbit Polyclonal Antibody to T150A
Description |
|---|
T150A is possible role in fasting-induced catabolism. |
Specification |
|
|---|---|
| Aliases | Transmembrane protein 150A, Transmembrane protein 150, TMEM150A, TMEM150 |
| Entrez GeneID | 129303 |
| Swissprot | Q86TG1 |
| WB Predicted band size | 28.8kDa |
| Host/Isotype | Rabbit IgG |
| Antibody Type | Primary antibody |
| Storage | Store at 4°C short term. Aliquot and store at -20°C long term. Avoid freeze/thaw cycles. |
| Species Reactivity | Human |
| Immunogen | This T150A antibody is generated from rabbits immunized with a KLH conjugated synthetic peptide between 81-108 amino acids from the Central region of human T150A. |
| Formulation | Purified antibody in PBS with 0.05% sodium azide. |
Application |
|
|---|---|
| WB | 1/1000 |
| IHC | 1/100-1/500 |
| FCM | 1/10-1/50 |
Product Image
- Western blot analysis of T150A Antibody (Center) (Cat. #P30486) in Jurkat cell line lysates (35ug/lane). T150A (arrow) was detected using the purified Pab.
- T150A Antibody (Center) (Cat. #P30486) flow cytometric analysis of Jurkat cells (right histogram) compared to a negative control cell (left histogram).FITC-conjugated goat-anti-rabbit secondary antibodies were used for the analysis.
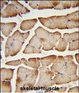
- Formalin-fixed and paraffin-embedded human skeletal muscle reacted with T150A Antibody (Center), which was peroxidase-conjugated to the secondary antibody, followed by DAB staining. This data demonstrates the use of this antibody for immunohistochemistry; clinical relevance has not been evaluated.
For Reseach Only
Application Key:WB - Western Blot | IHC - Immunohistochemistry | ICC - Immunocytochemistry | FCM - Flow Cytometry | ELISA - Enzyme-linked Immunosorbent Assay | IP - Immunoprecipitation
#P30486
相关产品

微信/QQ登录


首页
