提醒成功
搜索
Rabbit Polyclonal Antibody to MASTL
-
货号:
P30435 -
别名:
Serine/threonine-protein kinase greatwall, GW, GWL, hGWL, Microtubule-associated serine/threonine-protein kinase-like, MAST-L, MASTL, GW, GWL, THC2 -
应用:
WB,IHC-P,FCM -
反应种属:
Human -
抗体类型:
Primary antibody -
Swissprot:
Q96GX5 -
规格:
-
数量:
-+ -
说明书:
目录价¥1980
Rabbit Polyclonal Antibody to MASTL
Description |
|---|
MASTL, microtubule associated serine/threonine kinase-like, contains 1 protein kinase domain which belongs to the Ser/Thr protein kinase family. It may be involved in megakaryocyte differentiation. Defects in MASTL are a cause of nonsyndromic autosomal |
Specification |
|
|---|---|
| Aliases | Serine/threonine-protein kinase greatwall, GW, GWL, hGWL, Microtubule-associated serine/threonine-protein kinase-like, MAST-L, MASTL, GW, GWL, THC2 |
| Entrez GeneID | 84930 |
| Swissprot | Q96GX5 |
| WB Predicted band size | 97.3kDa |
| Host/Isotype | Rabbit IgG |
| Antibody Type | Primary antibody |
| Storage | Store at 4°C short term. Aliquot and store at -20°C long term. Avoid freeze/thaw cycles. |
| Species Reactivity | Human |
| Immunogen | This MASTL antibody is generated from rabbits immunized with human partial MASTL recombinant protein. |
| Formulation | Purified antibody in PBS with 0.05% sodium azide. |
Application |
|
|---|---|
| WB | 1/1000 |
| IHC | 1/100-1/500 |
| FCM | 1/10-1/50 |
Product Image
- Western blot analysis of MASTL Antibody (Cat. #P30435) in HepG2, MDA-MB231, 293, Hela cell line lysates (35ug/lane). MASTL (arrow) was detected using the purified Pab.
- MASTL Antibody (Cat. #P30435) flow cytometric analysis of HepG2 cells (bottom histogram) compared to a negative control cell (top histogram).FITC-conjugated goat-anti-rabbit secondary antibodies were used for the analysis.
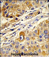
- Formalin-fixed and paraffin-embedded human hepatocarcinoma reacted with MASTL Antibody, which was peroxidase-conjugated to the secondary antibody, followed by DAB staining. This data demonstrates the use of this antibody for immunohistochemistry; clinical relevance has not been evaluated.
For Reseach Only
Application Key:WB - Western Blot | IHC - Immunohistochemistry | ICC - Immunocytochemistry | FCM - Flow Cytometry | ELISA - Enzyme-linked Immunosorbent Assay | IP - Immunoprecipitation
#P30435
相关产品

微信/QQ登录


首页
