提醒成功
搜索
Rabbit Polyclonal Antibody to ITGAX
-
货号:
P30430 -
别名:
Integrin alpha-X, CD11 antigen-like family member C, Leu M5, Leukocyte adhesion glycoprotein p150,95 alpha chain, Leukocyte adhesion receptor p150, CD11c, ITGAX, CD11C -
应用:
WB,IHC-P,IF,FCM -
反应种属:
Human, Mouse, Rat -
抗体类型:
Primary antibody -
Swissprot:
P20702 -
规格:
-
数量:
-+ -
说明书:
目录价¥1980
Rabbit Polyclonal Antibody to ITGAX
Description |
|---|
ITGAX is the integrin alpha X chain protein. Integrins are heterodimeric integral membrane proteins composed of an alpha chain and a beta chain. This protein combines with the beta 2 chain (ITGB2) to form a leukocyte-specific integrin referred to as inactivated-C3b (iC3b) receptor 4 (CR4). The alpha X beta 2 complex seems to overlap the properties of the alpha M beta 2 integrin in the adherence of neutrophils and monocytes to stimulated endothelium cells, and in the phagocytosis of complement coated particles. |
Specification |
|
|---|---|
| Aliases | Integrin alpha-X, CD11 antigen-like family member C, Leu M5, Leukocyte adhesion glycoprotein p150,95 alpha chain, Leukocyte adhesion receptor p150, CD11c, ITGAX, CD11C |
| Entrez GeneID | 3687 |
| Swissprot | P20702 |
| WB Predicted band size | 127.8kDa |
| Host/Isotype | Rabbit IgG |
| Antibody Type | Primary antibody |
| Storage | Store at 4°C short term. Aliquot and store at -20°C long term. Avoid freeze/thaw cycles. |
| Species Reactivity | Human, Mouse, Rat |
| Immunogen | This ITGAX antibody is generated from rabbits immunized with a KLH conjugated synthetic peptide between 1119-1145 amino acids from the C-terminal region of human ITGAX. |
| Formulation | Purified antibody in PBS with 0.05% sodium azide. |
Application |
|
|---|---|
| WB | 1/1000 |
| IHC | 1/100-1/500 |
| IF/ICC | 1/10-1/50 |
| FCM | 1/10-1/50 |
Product Image
- Western blot analysis of ITGAX Antibody (C-term) (Cat. #P30430) in MDA-MB231 cell line lysates (35ug/lane). ITGAX (arrow) was detected using the purified Pab.
- Immunofluorescence analysis of ITGAX Antibody (C-term) with paraffin-embedded human hepatocarcinoma . 0.05 mg/ml primary antibody was followed by FITC-conjugated goat anti-rabbit lgG (whole molecule). FITC emits green fluorescence.Red counterstaining is PI.
- Flow cytometric analysis of SK-Br-3 cells using ITGAX Antibody (C-term)(bottom histogram) compared to a negative control cell (top histogram). FITC-conjugated goat-anti-rabbit secondary antibodies were used for the analysis.
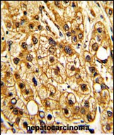
- Formalin-fixed and paraffin-embedded human hepatocarcinoma with ITGAX Antibody (C-term), which was peroxidase-conjugated to the secondary antibody, followed by DAB staining. This data demonstrates the use of this antibody for immunohistochemistry; clinical relevance has not been evaluated.
For Reseach Only
Application Key:WB - Western Blot | IHC - Immunohistochemistry | ICC - Immunocytochemistry | FCM - Flow Cytometry | ELISA - Enzyme-linked Immunosorbent Assay | IP - Immunoprecipitation
#P30430
相关产品

微信/QQ登录


首页
