提醒成功
搜索
Rabbit Polyclonal Antibody to PDIA3
-
货号:
P30406 -
别名:
Protein disulfide-isomerase A3, 58 kDa glucose-regulated protein, 58 kDa microsomal protein, p58, Disulfide isomerase ER-60, Endoplasmic reticulum resident protein 57, ER protein 57, ERp57, Endoplasmic reticulum resident protein 60, ER protein 60, ERp60, PDIA3, ERP57, ERP60, GRP58 -
应用:
WB,IHC-P,FCM -
反应种属:
Human -
抗体类型:
Primary antibody -
Swissprot:
P30101 -
规格:
-
数量:
-+ -
说明书:
目录价¥1980
Rabbit Polyclonal Antibody to PDIA3
Description |
|---|
PDIA3 is the endoplasmic reticulum that interacts with lectin chaperones calreticulin and calnexin to modulate folding of newly synthesized glycoproteins. The protein was once thought to be a phospholipase; however, it has been demonstrated that the protein actually has protein disulfide isomerase activity. It is thought that complexes of lectins and this protein mediate protein folding by promoting formation of disulfide bonds in their glycoprotein substrates. |
Specification |
|
|---|---|
| Aliases | Protein disulfide-isomerase A3, 58 kDa glucose-regulated protein, 58 kDa microsomal protein, p58, Disulfide isomerase ER-60, Endoplasmic reticulum resident protein 57, ER protein 57, ERp57, Endoplasmic reticulum resident protein 60, ER protein 60, ERp60, PDIA3, ERP57, ERP60, GRP58 |
| Entrez GeneID | 2923 |
| Swissprot | P30101 |
| WB Predicted band size | 56.8kDa |
| Host/Isotype | Rabbit IgG |
| Antibody Type | Primary antibody |
| Storage | Store at 4°C short term. Aliquot and store at -20°C long term. Avoid freeze/thaw cycles. |
| Species Reactivity | Human |
| Immunogen | This PDIA3 antibody is generated from rabbits immunized with a KLH conjugated synthetic peptide between 192-220 amino acids from the Central region of human PDIA3. |
| Formulation | Purified antibody in PBS with 0.05% sodium azide,1%BSA and 50% glycerol.prepared by Saturated Ammonium Sulfate (SAS) . |
Application |
|
|---|---|
| WB | 1/1000 |
| IHC | 1/100-1/500 |
| FCM | 1/10-1/50 |
Product Image
- Western blot analysis of PDIA3 Antibody (Center) (Cat. #P30406) in A2058, A375, Ramos cell line lysates (35ug/lane). PDIA3 (arrow) was detected using the purified Pab.(2ug/ml)
- Western blot analysis of PDIA3 (arrow) using rabbit polyclonal PDIA3 Antibody (Center) (Cat. #P30406). 293 cell lysates (2 ug/lane) either nontransfected (Lane 1) or transiently transfected with the PDIA3 gene (Lane 2) .
- Flow cytometric analysis of widr cells using PDIA3 Antibody (Center)(bottom histogram) compared to a negative control cell (top histogram)FITC-conjugated goat-anti-rabbit secondary antibodies were used for the analysis.
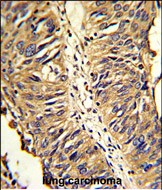
- Formalin-fixed and paraffin-embedded human lung carcinoma reacted with PDIA3 Antibody (Center), which was peroxidase-conjugated to the secondary antibody, followed by DAB staining. This data demonstrates the use of this antibody for immunohistochemistry; clinical relevance has not been evaluated.
For Reseach Only
Application Key:WB - Western Blot | IHC - Immunohistochemistry | ICC - Immunocytochemistry | FCM - Flow Cytometry | ELISA - Enzyme-linked Immunosorbent Assay | IP - Immunoprecipitation
#P30406
相关产品

微信/QQ登录


首页
