提醒成功
搜索
Rabbit Polyclonal Antibody to MDH1
-
货号:
P30404 -
别名:
Malate dehydrogenase, cytoplasmic, Cytosolic malate dehydrogenase, Diiodophenylpyruvate reductase, MDH1, MDHA -
应用:
WB,IHC-P,FCM -
反应种属:
Human, Mouse, Rat -
抗体类型:
Primary antibody -
Swissprot:
P40925 -
规格:
-
数量:
-+ -
说明书:
目录价¥1980
Rabbit Polyclonal Antibody to MDH1
Description |
|---|
MDH1 is localized to the cytoplasm and may play pivotal roles in the malate-aspartate shuttle that operates in the metabolic coordination between cytosol and mitochondria. |
Specification |
|
|---|---|
| Aliases | Malate dehydrogenase, cytoplasmic, Cytosolic malate dehydrogenase, Diiodophenylpyruvate reductase, MDH1, MDHA |
| Entrez GeneID | 4190 |
| Swissprot | P40925 |
| WB Predicted band size | 36.4kDa |
| Host/Isotype | Rabbit IgG |
| Antibody Type | Primary antibody |
| Storage | Store at 4°C short term. Aliquot and store at -20°C long term. Avoid freeze/thaw cycles. |
| Species Reactivity | Human, Mouse, Rat |
| Immunogen | This MDH1 antibody is generated from rabbits immunized with a KLH conjugated synthetic peptide between 286-314 amino acids from the C-terminal region of human MDH1. |
| Formulation | Purified antibody in PBS with 0.05% sodium azide,1%BSA and 50% glycerol.prepared by Saturated Ammonium Sulfate (SAS) . |
Application |
|
|---|---|
| WB | 1/1000 |
| IHC | 1/100-1/500 |
| FCM | 1/10-1/50 |
Product Image
- MDH1 Antibody (C-term) (Cat. #P30404) western blot analysis in HL-60,THP-1 cell line lysates (35ug/lane).This demonstrates the MDH1 antibody detected the MDH1 protein (arrow).
- MDH1 Antibody (C-term) (Cat. #P30404) flow cytometry analysis of HL-60 cells (bottom histogram) compared to a negative control cell (top histogram).FITC-conjugated goat-anti-rabbit secondary antibodies were used for the analysis.
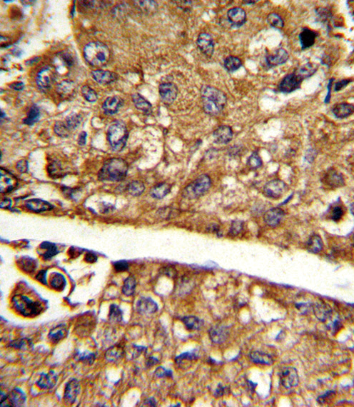
- Formalin-fixed and paraffin-embedded human hepatocarcinoma reacted with MDH1 Antibody (C-term), which was peroxidase-conjugated to the secondary antibody, followed by DAB staining. This data demonstrates the use of this antibody for immunohistochemistry; clinical relevance has not been evaluated.
For Reseach Only
Application Key:WB - Western Blot | IHC - Immunohistochemistry | ICC - Immunocytochemistry | FCM - Flow Cytometry | ELISA - Enzyme-linked Immunosorbent Assay | IP - Immunoprecipitation
#P30404
相关产品

微信/QQ登录


首页
