提醒成功
搜索
Rabbit Polyclonal Antibody to CDK3 (N-term Y19)
-
货号:
P30403 -
别名:
Cyclin-dependent kinase 3, Cell division protein kinase 3, CDK3, CDKN3 -
应用:
WB,IHC-P,FCM -
反应种属:
Human -
抗体类型:
Primary antibody -
Swissprot:
Q00526 -
规格:
-
数量:
-+ -
说明书:
目录价¥1980
Rabbit Polyclonal Antibody to CDK3 (N-term Y19)
Description |
|---|
This gene encodes a member of the cyclin-dependent protein kinase family. The protein promotes entry into S phase, in part by activating members of the E2F family of transcription factors. The protein also associates with cyclin C and phosphorylates the retinoblastoma 1 protein to promote exit from G0. |
Specification |
|
|---|---|
| Aliases | Cyclin-dependent kinase 3, Cell division protein kinase 3, CDK3, CDKN3 |
| Entrez GeneID | 1018 |
| Swissprot | Q00526 |
| WB Predicted band size | 35.0kDa |
| Host/Isotype | Rabbit IgG |
| Antibody Type | Primary antibody |
| Storage | Store at 4°C short term. Aliquot and store at -20°C long term. Avoid freeze/thaw cycles. |
| Species Reactivity | Human |
| Immunogen | This CDK3 antibody is generated from rabbits immunized with a KLH conjugated synthetic peptide between 4-38 amino acids from the N-terminal region of human CDK3. |
| Formulation | Purified antibody in PBS with 0.05% sodium azide,1%BSA and 50% glycerol.prepared by Saturated Ammonium Sulfate (SAS) . |
Application |
|
|---|---|
| WB | 1/1000 |
| IHC | 1/100-1/500 |
| FCM | 1/10-1/50 |
Product Image
- Western blot analysis of CDK3(arrow) using rabbit polyclonal CDK3 Antibody (N-term Y19) (Cat. #). 293 cell lysates (2 ug/lane) either nontransfected (Lane 1) or transiently transfected with the CDK3 gene (Lane 2) (Origene Technologies).
- Flow cytometric analysis of NCI-H292 cells using CDK3 Antibody (N-term Y19)(bottom histogram) compared to a negative control cell (top histogram). FITC-conjugated goat-anti-rabbit secondary antibodies were used for the analysis.
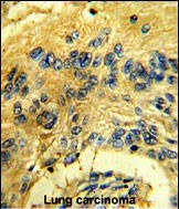
- Formalin-fixed and paraffin-embedded human lung carcinoma reacted with CDK3 Antibody (N-term Y19), which was peroxidase-conjugated to the secondary antibody, followed by DAB staining. This data demonstrates the use of this antibody for immunohistochemistry; clinical relevance has not been evaluated.
For Reseach Only
Application Key:WB - Western Blot | IHC - Immunohistochemistry | ICC - Immunocytochemistry | FCM - Flow Cytometry | ELISA - Enzyme-linked Immunosorbent Assay | IP - Immunoprecipitation
#P30403
相关产品

微信/QQ登录


首页
