提醒成功
搜索
Rabbit Polyclonal Antibody to TOMM70A
-
货号:
P30402 -
别名:
Mitochondrial import receptor subunit TOM70, Mitochondrial precursor proteins import receptor, Translocase of outer membrane 70 kDa subunit, TOMM70A, KIAA0719, TOM70 -
应用:
WB,IHC-P,FCM -
反应种属:
Human -
抗体类型:
Primary antibody -
Swissprot:
O94826 -
规格:
-
数量:
-+ -
说明书:
目录价¥1980
Rabbit Polyclonal Antibody to TOMM70A
Description |
|---|
The translocase of outer mitochondrial membrane (TOM) complex is a multisubunit complex involved in the recognition, unfolding, and translocation of preproteins into the mitochondria. |
Specification |
|
|---|---|
| Aliases | Mitochondrial import receptor subunit TOM70, Mitochondrial precursor proteins import receptor, Translocase of outer membrane 70 kDa subunit, TOMM70A, KIAA0719, TOM70 |
| Entrez GeneID | 9868 |
| Swissprot | O94826 |
| WB Predicted band size | 67.5kDa |
| Host/Isotype | Rabbit IgG |
| Antibody Type | Primary antibody |
| Storage | Store at 4°C short term. Aliquot and store at -20°C long term. Avoid freeze/thaw cycles. |
| Species Reactivity | Human |
| Immunogen | This TOMM70A antibody is generated from rabbits immunized with a KLH conjugated synthetic peptide between 579-608 amino acids from the C-terminal region of human TOMM70A. |
| Formulation | Purified antibody in PBS with 0.05% sodium azide,1%BSA and 50% glycerol.prepared by Saturated Ammonium Sulfate (SAS) . |
Application |
|
|---|---|
| WB | 1/1000 |
| IHC | 1/100-1/500 |
| FCM | 1/10-1/50 |
Product Image
- Western blot analysis of TOMM70A antibody (C-term) (Cat. #P30402) in HL60 cell line lysates (35ug/lane). TOMM70A (arrow) was detected using the purified Pab.
- Flow cytometric analysis of hela cells using TOMM70A Antibody (C-term)(bottom histogram) compared to a negative control cell (top histogram)FITC-conjugated goat-anti-rabbit secondary antibodies were used for the analysis.
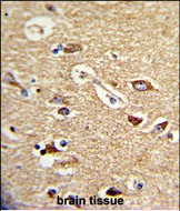
- Formalin-fixed and paraffin-embedded human brain tissue reacted with TOMM70A Antibody (C-term), which was peroxidase-conjugated to the secondary antibody, followed by DAB staining. This data demonstrates the use of this antibody for immunohistochemistry; clinical relevance has not been evaluated.
For Reseach Only
Application Key:WB - Western Blot | IHC - Immunohistochemistry | ICC - Immunocytochemistry | FCM - Flow Cytometry | ELISA - Enzyme-linked Immunosorbent Assay | IP - Immunoprecipitation
#P30402
相关产品

微信/QQ登录


首页
