提醒成功

搜索
Rabbit Polyclonal Antibody to AMT (N-term)
-
货号:
P30401 -
别名:
Aminomethyltransferase, mitochondrial, Glycine cleavage system T protein, GCVT, AMT, GCST -
应用:
WB,IHC-P,FCM -
反应种属:
Human -
抗体类型:
Primary antibody -
Swissprot:
P48728 -
规格:
-
数量:
-+ -
说明书:
目录价¥1980

Rabbit Polyclonal Antibody to AMT (N-term)
Description |
---|
The enzyme system for cleavage of glycine (glycine cleavage system; EC 2.1.2.10), which is confined to the mitochondria, is composed of 4 protein components: P protein (a pyridoxal phosphate-dependent glycine decarboxylase; MIM 238300), H protein (a lipoic acid-containing protein; MIM 238330), T protein (a tetrahydrofolate-requiring enzyme), and L protein (a lipoamide dehydrogenase; MIM 238331). Glycine encephalopathy (GCE; MIM 605899) may be due to a defect in any one of these enzymes. |
Specification |
|
---|---|
Aliases | Aminomethyltransferase, mitochondrial, Glycine cleavage system T protein, GCVT, AMT, GCST |
Entrez GeneID | 275 |
Swissprot | P48728 |
WB Predicted band size | 43.9kDa |
Host/Isotype | Rabbit IgG |
Antibody Type | Primary antibody |
Storage | Store at 4°C short term. Aliquot and store at -20°C long term. Avoid freeze/thaw cycles. |
Species Reactivity | Human |
Immunogen | This AMT antibody is generated from rabbits immunized with a KLH conjugated synthetic peptide between 19-45 amino acids from the N-terminal region of human AMT. |
Formulation | Purified antibody in PBS with 0.05% sodium azide,1%BSA and 50% glycerol.prepared by Saturated Ammonium Sulfate (SAS) . |
Application |
|
---|---|
WB | 1/1000 |
IHC | 1/100-1/500 |
FCM | 1/10-1/50 |
Product Image
- Western blot analysis of AMT Antibody (N-term) (Cat. #P30401) in HepG2 cell line lysates (35ug/lane). AMT (arrow) was detected using the purified Pab.
- AMT Antibody (N-term) (Cat.#P30401) flow cytometry analysis of HepG2 cells (bottom histogram) compared to a negative control cell (top histogram). FITC-conjugated goat-anti-rabbit secondary antibodies were used for the analysis.
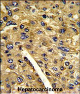
- Formalin-fixed and paraffin-embedded human hepatocarcinoma reacted with AMT Antibody (N-term), which was peroxidase-conjugated to the secondary antibody, followed by DAB staining. This data demonstrates the use of this antibody for immunohistochemistry; clinical relevance has not been evaluated.
For Reseach Only
Application Key:WB - Western Blot | IHC - Immunohistochemistry | ICC - Immunocytochemistry | FCM - Flow Cytometry | ELISA - Enzyme-linked Immunosorbent Assay | IP - Immunoprecipitation
#P30401

相关产品


