提醒成功

搜索
Rabbit Polyclonal Antibody to ITIH2
-
货号:
P30397 -
别名:
Inter-alpha-trypsin inhibitor heavy chain H2, ITI heavy chain H2, ITI-HC2, Inter-alpha-inhibitor heavy chain 2, Inter-alpha-trypsin inhibitor complex component II, Serum-derived hyaluronan-associated protein, SHAP, ITIH2, IGHEP2 -
应用:
WB,IHC-P,FCM -
反应种属:
Human -
抗体类型:
Primary antibody -
Swissprot:
P19823 -
规格:
-
数量:
-+ -
说明书:
目录价¥1980

Rabbit Polyclonal Antibody to ITIH2
Description |
---|
ITIH2 may act as a carrier of hyaluronan in serum or as a binding protein between hyaluronan and other matrix protein, including those on cell surfaces in tissues to regulate the localization, synthesis and degradation of hyaluronan which are essential to cells undergoing biological processes. |
Specification |
|
---|---|
Aliases | Inter-alpha-trypsin inhibitor heavy chain H2, ITI heavy chain H2, ITI-HC2, Inter-alpha-inhibitor heavy chain 2, Inter-alpha-trypsin inhibitor complex component II, Serum-derived hyaluronan-associated protein, SHAP, ITIH2, IGHEP2 |
Entrez GeneID | 3698 |
Swissprot | P19823 |
WB Predicted band size | 106.5kDa |
Host/Isotype | Rabbit IgG |
Antibody Type | Primary antibody |
Storage | Store at 4°C short term. Aliquot and store at -20°C long term. Avoid freeze/thaw cycles. |
Species Reactivity | Human |
Immunogen | This ITIH2 antibody is generated from rabbits immunized with a KLH conjugated synthetic peptide between 858-886 amino acids from the C-terminal region of human ITIH2. |
Formulation | Purified antibody in PBS with 0.05% sodium azide,1%BSA and 50% glycerol.prepared by Saturated Ammonium Sulfate (SAS) . |
Application |
|
---|---|
WB | 1/1000 |
IHC | 1/100-1/500 |
FCM | 1/10-1/50 |
Product Image
- Western blot analysis of ITIH2 antibody (C-term) (Cat. #P30397) in HepG2 cell line lysates (35ug/lane). ITIH2 (arrow) was detected using the purified Pab.
- ITIH2 Antibody (C-term) (Cat. #P30397) flow cytometric analysis of HepG2 cells (right histogram) compared to a negative control cell (left histogram).FITC-conjugated goat-anti-rabbit secondary antibodies were used for the analysis.
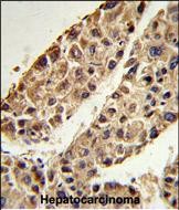
- Formalin-fixed and paraffin-embedded human hepatocarcinoma reacted with ITIH2 Antibody (C-term), which was peroxidase-conjugated to the secondary antibody, followed by DAB staining. This data demonstrates the use of this antibody for immunohistochemistry; clinical relevance has not been evaluated.
For Reseach Only
Application Key:WB - Western Blot | IHC - Immunohistochemistry | ICC - Immunocytochemistry | FCM - Flow Cytometry | ELISA - Enzyme-linked Immunosorbent Assay | IP - Immunoprecipitation
#P30397

相关产品


