提醒成功

搜索
Rabbit Polyclonal Antibody to CD201
-
货号:
P30391 -
别名:
Endothelial protein C receptor, Activated protein C receptor, APC receptor, Endothelial cell protein C receptor, CD201, PROCR, EPCR -
应用:
WB,IHC-P,FCM -
反应种属:
Human -
抗体类型:
Primary antibody -
Swissprot:
Q9UNN8 -
规格:
-
数量:
-+ -
说明书:
目录价¥1980

Rabbit Polyclonal Antibody to CD201
Description |
---|
PROCR (CD201) is a receptor for activated protein C, a serine protease activated by and involved in the blood coagulation pathway. The protein is an N-glycosylated type I membrane protein that enhances the activation of protein C. Mutations in its gene have been associated with venous thromboembolism and myocardial infarction, as well as with late fetal loss during pregnancy. |
Specification |
|
---|---|
Aliases | Endothelial protein C receptor, Activated protein C receptor, APC receptor, Endothelial cell protein C receptor, CD201, PROCR, EPCR |
Entrez GeneID | 10544 |
Swissprot | Q9UNN8 |
WB Predicted band size | 26.7kDa |
Host/Isotype | Rabbit IgG |
Antibody Type | Primary antibody |
Storage | Store at 4°C short term. Aliquot and store at -20°C long term. Avoid freeze/thaw cycles. |
Species Reactivity | Human |
Immunogen | This CD201 antibody is generated from rabbits immunized with a KLH conjugated synthetic peptide between 104-132 amino acids from the Central region of human CD201. |
Formulation | Purified antibody in PBS with 0.05% sodium azide,1%BSA and 50% glycerol.prepared by Saturated Ammonium Sulfate (SAS) . |
Application |
|
---|---|
WB | 1/1000 |
IHC | 1/100-1/500 |
FCM | 1/10-1/50 |
Product Image
- Western blot analysis of CD201 antibody (Center) (Cat. #P30391) in T47D cell line lysates (35ug/lane). CD201 (arrow) was detected using the purified Pab.
- Flow cytometric analysis of NCI-H292 cells using CD201 Antibody (Center)(bottom histogram) compared to a negative control cell (top histogram). FITC-conjugated goat-anti-rabbit secondary antibodies were used for the analysis.
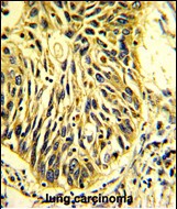
- Formalin-fixed and paraffin-embedded human lung carcinoma with CD201 Antibody (Center), which was peroxidase-conjugated to the secondary antibody, followed by DAB staining. This data demonstrates the use of this antibody for immunohistochemistry; clinical relevance has not been evaluated.
For Reseach Only
Application Key:WB - Western Blot | IHC - Immunohistochemistry | ICC - Immunocytochemistry | FCM - Flow Cytometry | ELISA - Enzyme-linked Immunosorbent Assay | IP - Immunoprecipitation
#P30391

相关产品


