提醒成功

搜索
Rabbit Polyclonal Antibody to CTSF (Center D276)
-
货号:
P30379 -
别名:
Cathepsin F, CATSF, CTSF -
应用:
WB,IHC-P,FCM -
反应种属:
Human -
抗体类型:
Primary antibody -
Swissprot:
Q9UBX1 -
规格:
-
数量:
-+ -
说明书:
目录价¥1980

Rabbit Polyclonal Antibody to CTSF (Center D276)
Description |
---|
Cathepsins are papain family cysteine proteinases that represent a major component of the lysosomal proteolytic system. Cathepsins generally contain a signal sequence, followed by a propeptide and then a catalytically active mature region. The very long (251 amino acid residues) proregion of the cathepsin F precursor contains a C-terminal domain similar to the pro-segment of cathepsin L-like enzymes, a 50-residue flexible linker peptide, and an N-terminal domain predicted to adopt a cystatin-like fold. The cathepsin F proregion is unique within the papain family cysteine proteases in that it contains this additional N-terminal segment predicted to share structural similarities with cysteine protease inhibitors of the cystatin superfamily. This cystatin-like domain contains some of the elements known to be important for inhibitory activity. CTSF is a predicted protein of 484 amino acids which contains a 19 residue signal peptide. Cathepsin F contains five potential N-glycosylation sites, and it may be targeted to the endosomal/lysosomal compartment via the mannose 6-phosphate receptor pathway. |
Specification |
|
---|---|
Aliases | Cathepsin F, CATSF, CTSF |
Entrez GeneID | 8722 |
Swissprot | Q9UBX1 |
WB Predicted band size | 53.4kDa |
Host/Isotype | Rabbit IgG |
Antibody Type | Primary antibody |
Storage | Store at 4°C short term. Aliquot and store at -20°C long term. Avoid freeze/thaw cycles. |
Species Reactivity | Human |
Immunogen | This CTSF antibody is generated from rabbits immunized with a KLH conjugated synthetic peptide between 261-290 amino acids from the Central region of human CTSF. |
Formulation | Purified antibody in PBS with 0.05% sodium azide,1%BSA and 50% glycerol.prepared by Saturated Ammonium Sulfate (SAS) . |
Application |
|
---|---|
WB | 1/1000 |
IHC | 1/100-1/500 |
FCM | 1/10-1/50 |
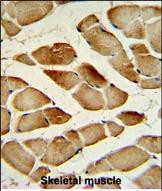
Product Image
- Western blot analysis of CTSF Antibody (Center D276) (Cat. #P30379) in MDA-MB231 cell line lysates (35ug/lane). CTSF (arrow) was detected using the purified Pab.
- CTSF Antibody (Center D276) (Cat. #P30379) flow cytometric analysis of MDA-MB231 cells (right histogram) compared to a negative control cell (left histogram).FITC-conjugated goat-anti-rabbit secondary antibodies were used for the analysis.
- CTSF Antibody (Center D276) (Cat. #P30379) IHC analysis in formalin fixed and paraffin embedded human Skeletal muscle tissue followed by peroxidase conjugation of the secondary antibody and DAB staining. This data demonstrates the use of the CTSF Antibody (Center D276) for immunohistochemistry. Clinical relevance has not been evaluated.
For Reseach Only
Application Key:WB - Western Blot | IHC - Immunohistochemistry | ICC - Immunocytochemistry | FCM - Flow Cytometry | ELISA - Enzyme-linked Immunosorbent Assay | IP - Immunoprecipitation
#P30379

相关产品


