提醒成功

搜索
Mouse Monoclonal Antibody to LPA
-
货号:
30380 -
别名:
LP; AK38; APOA -
应用:
IHC,IF -
反应种属:
Human -
抗体类型:
Primary antibody -
Swissprot:
P08519 -
规格:
-
数量:
-+ -
说明书:
目录价¥2180

Mouse Monoclonal Antibody to LPA
Description |
---|
The protein encoded by this gene is a serine proteinase that inhibits the activity of tissue-type plasminogen activator I. The encoded protein constitutes a substantial portion of lipoprotein(a) and is proteolytically cleaved, resulting in fragments that attach to atherosclerotic lesions and promote thrombogenesis. Elevated plasma levels of this protein are linked to atherosclerosis. Depending on the individual, the encoded protein contains 2-43 copies of kringle-type domains. The allele represented here contains 15 copies of the kringle-type repeats and corresponds to that found in the reference genome sequence. |
References |
---|
1.J Lipid Res. 2010 Oct;51(10):3055-61. 2.Thromb Res. 2010 Sep;126(3):222-6. |
Specification |
|
---|---|
Aliases | LP; AK38; APOA |
Entrez GeneID | 4018 |
Swissprot | P08519 |
clone | 4H1 |
WB Predicted band size | 501kDa |
Host/Isotype | Mouse IgG1 |
Antibody Type | Primary antibody |
Storage | Store at 4°C short term. Aliquot and store at -20°C long term. Avoid freeze/thaw cycles. |
Species Reactivity | Human |
Immunogen | Purified recombinant fragment of human LPA (AA: 1823-2013) expressed in E. Coli. |
Formulation | Purified antibody in PBS with 0.05% sodium azide |
Application |
|
---|---|
IHC | 1/200 - 1/1000 |
IF/ICC | 1/200 - 1/1000 |
ELISA | 1/10000 |
Product Image
- Black line: Control Antigen (100 ng); Purple line: Antigen(10ng); Blue line: Antigen (50 ng); Red line: Antigen (100 ng);
- Immunofluorescence analysis of HepG2 cells using LPA mouse mAb (green). Blue: DRAQ5 fluorescent DNA dye. Red: Actin filaments have been labeled with Alexa Fluor-555 phalloidin.
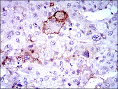
- Immunohistochemical analysis of paraffin-embedded human liver cancer tissues using LPA mouse mAb with DAB staining.
- Immunohistochemical analysis of paraffin-embedded human breast cancer tissues using LPA mouse mAb with DAB staining.
- Immunohistochemical analysis of paraffin-embedded human rectum cancer tissues using LPA mouse mAb with DAB staining.
For Reseach Only
Application Key:WB - Western Blot | IHC - Immunohistochemistry | ICC - Immunocytochemistry | FCM - Flow Cytometry | ELISA - Enzyme-linked Immunosorbent Assay | IP - Immunoprecipitation
#30380

相关产品


