提醒成功

搜索
Rabbit Polyclonal Antibody to UDB17
-
货号:
P30374 -
别名:
UDP-glucuronosyltransferase 2B17, UDPGT 2B17, C19-steroid-specific UDP-glucuronosyltransferase, C19-steroid-specific UDPGT, UGT2B17 -
应用:
WB,IHC-P -
反应种属:
Human -
抗体类型:
Primary antibody -
Swissprot:
O75795 -
规格:
-
数量:
-+ -
说明书:
目录价¥1980

Rabbit Polyclonal Antibody to UDB17
Description |
---|
UGT2B17 belongs to the family of UDP-glucuronosyltransferases (UGTs; EC 2.4.1.17), enzymes that catalyze the transfer of glucuronic acid from uridine diphosphoglucuronic acid to a variety of substrates, including steroid hormones. |
Specification |
|
---|---|
Aliases | UDP-glucuronosyltransferase 2B17, UDPGT 2B17, C19-steroid-specific UDP-glucuronosyltransferase, C19-steroid-specific UDPGT, UGT2B17 |
Entrez GeneID | 7367 |
Swissprot | O75795 |
WB Predicted band size | 61.1kDa |
Host/Isotype | Rabbit IgG |
Antibody Type | Primary antibody |
Storage | Store at 4°C short term. Aliquot and store at -20°C long term. Avoid freeze/thaw cycles. |
Species Reactivity | Human |
Immunogen | This UDB17 antibody is generated from rabbits immunized with a KLH conjugated synthetic peptide between 119-147 amino acids from the Central region of human UDB17. |
Formulation | Purified antibody in PBS with 0.05% sodium azide,1%BSA and 50% glycerol.prepared by Saturated Ammonium Sulfate (SAS) . |
Application |
|
---|---|
WB | 1/1000 |
IHC | 1/100-1/500 |
Product Image
- Western blot analysis of UDB17 antibody (Center) (Cat.# P30374) in Y79 cell line lysates (35ug/lane). UDB17 (arrow) was detected using the purified Pab.
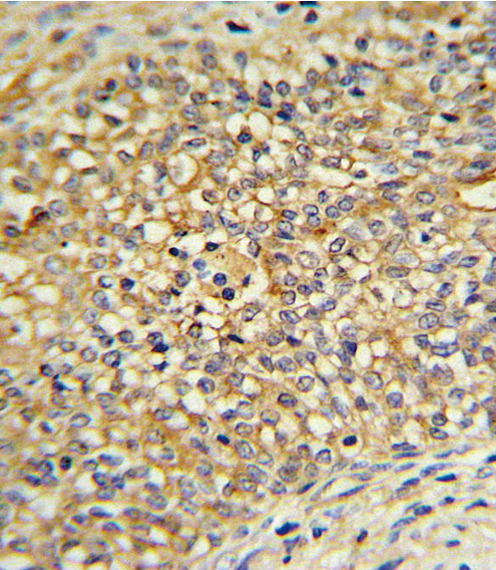
- UDB17 Antibody (Center) (Cat.# P30374) IHC analysis in formalin fixed and paraffin embedded human Prostate carcinoma followed by peroxidase conjugation of the secondary antibody and DAB staining. This data demonstrates the use of the UDB17 Antibody (Center) for immunohistochemistry. Clinical relevance has not been evaluated.
For Reseach Only
Application Key:WB - Western Blot | IHC - Immunohistochemistry | ICC - Immunocytochemistry | FCM - Flow Cytometry | ELISA - Enzyme-linked Immunosorbent Assay | IP - Immunoprecipitation
#P30374

相关产品


