提醒成功

搜索
Rabbit Polyclonal Antibody to SERPINA4
-
货号:
P30373 -
别名:
Kallistatin, Kallikrein inhibitor, Peptidase inhibitor 4, PI-4, Serpin A4, SERPINA4, KST, PI4 -
应用:
WB,IHC-P,FCM -
反应种属:
Human -
抗体类型:
Primary antibody -
Swissprot:
P29622 -
规格:
-
数量:
-+ -
说明书:
目录价¥1980

Rabbit Polyclonal Antibody to SERPINA4
Description |
---|
SERPINA4 inhibits human amidolytic and kininogenase activities of tissue kallikrein. The inhibition is achieved by formation of an equimolar, heat- and SDS-stable complex between the inhibitor and the enzyme, and generation of a small C-terminal fragment of the inhibitor due to cleavage at the reactive site by tissue kallikrein. |
Specification |
|
---|---|
Aliases | Kallistatin, Kallikrein inhibitor, Peptidase inhibitor 4, PI-4, Serpin A4, SERPINA4, KST, PI4 |
Entrez GeneID | 5267 |
Swissprot | P29622 |
WB Predicted band size | 48.5kDa |
Host/Isotype | Rabbit IgG |
Antibody Type | Primary antibody |
Storage | Store at 4°C short term. Aliquot and store at -20°C long term. Avoid freeze/thaw cycles. |
Species Reactivity | Human |
Immunogen | This SERPINA4 antibody is generated from rabbits immunized with a KLH conjugated synthetic peptide between 291-320 amino acids from the C-terminal region of human SERPINA4. |
Formulation | Purified antibody in PBS with 0.05% sodium azide,1%BSA and 50% glycerol.prepared by Saturated Ammonium Sulfate (SAS) . |
Application |
|
---|---|
WB | 1/1000 |
IHC | 1/100-1/500 |
FCM | 1/10-1/50 |
Product Image
- Western blot analysis of SERPINA4 antibody (C-term) (Cat.#P30373) in NCI-H460 cell line lysates (35ug/lane). SERPINA4 (arrow) was detected using the purified Pab.
- SERPINA4 Antibody (C-term) (Cat. #P30373) flow cytometric analysis of NCI-H460 cells (bottom histogram) compared to a negative control cell (top histogram).FITC-conjugated goat-anti-rabbit secondary antibodies were used for the analysis.
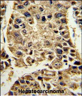
- Formalin-fixed and paraffin-embedded human hepatocarcinoma reacted with SERPINA4 Antibody (C-term), which was peroxidase-conjugated to the secondary antibody, followed by DAB staining. This data demonstrates the use of this antibody for immunohistochemistry; clinical relevance has not been evaluated.
For Reseach Only
Application Key:WB - Western Blot | IHC - Immunohistochemistry | ICC - Immunocytochemistry | FCM - Flow Cytometry | ELISA - Enzyme-linked Immunosorbent Assay | IP - Immunoprecipitation
#P30373

相关产品


