提醒成功

搜索
Rabbit Polyclonal Antibody to CP (N-term)
-
货号:
P30370 -
别名:
Ceruloplasmin, Ferroxidase, CP -
应用:
WB,IHC-P,FCM -
反应种属:
Human, Mouse -
抗体类型:
Primary antibody -
Swissprot:
P00450 -
规格:
-
数量:
-+ -
说明书:
目录价¥1980

Rabbit Polyclonal Antibody to CP (N-term)
Description |
---|
CP is a metalloprotein that binds most of the copper in plasma and is involved in the peroxidation of Fe(II)transferrin to Fe(III) transferrin. Mutations in this protein cause aceruloplasminemia, which results in iron accumulation and tissue damage, and is associated with diabetes and neurologic abnormalities. |
Specification |
|
---|---|
Aliases | Ceruloplasmin, Ferroxidase, CP |
Entrez GeneID | 1356 |
Swissprot | P00450 |
WB Predicted band size | 122.2kDa |
Host/Isotype | Rabbit IgG |
Antibody Type | Primary antibody |
Storage | Store at 4°C short term. Aliquot and store at -20°C long term. Avoid freeze/thaw cycles. |
Species Reactivity | Human, Mouse |
Immunogen | This CP antibody is generated from rabbits immunized with a KLH conjugated synthetic peptide between 121-151 amino acids from the N-terminal region of human CP. |
Formulation | Purified antibody in PBS with 0.05% sodium azide,1%BSA and 50% glycerol.prepared by Saturated Ammonium Sulfate (SAS) . |
Application |
|
---|---|
WB | 1/1000 |
IHC | 1/100-1/500 |
FCM | 1/10-1/50 |
Product Image
- CP Antibody (N-term) (Cat. #P30370) western blot analysis in human blood plasma tissue lysates (35ug/lane).This demonstrates the CP antibody detected the CP protein (arrow).
- CP Antibody (N-term) (Cat. #P30370) flow cytometric analysis of HepG2 cells (right histogram) compared to a negative control cell (left histogram).FITC-conjugated goat-anti-rabbit secondary antibodies were used for the analysis.
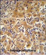
- CP Antibody (N-term) (Cat.#P30370) IHC analysis in formalin fixed and paraffin embedded human hepatocarcinoma followed by peroxidase conjugation of the secondary antibody and DAB staining. This data demonstrates the use of the CP Antibody (N-term) for immunohistochemistry. Clinical relevance has not been evaluated.
For Reseach Only
Application Key:WB - Western Blot | IHC - Immunohistochemistry | ICC - Immunocytochemistry | FCM - Flow Cytometry | ELISA - Enzyme-linked Immunosorbent Assay | IP - Immunoprecipitation
#P30370

相关产品


