提醒成功
搜索
新闻资讯
News and information-
02-02
2026研究MMP9表达:抗体选择与实验方案
抗体作为MMP9表达检测的核心工具,其质量优劣决定实验数据的可靠性与结论的科学性。

-
02-02
2026如何定制特异性强的NOS2抗体?
精准把控特异性强的NOS2抗体定制全流程的技术细节,通过科学设计与严格质控剔除非特异性成分,是获得高品质NOS2抗体的核心前提。

-
01-30
2026配对抗体定制助力精准ELISA/CLIA检测
配对抗体定制以靶点特性为导向,突破通用抗体的应用局限,通过全流程个性化设计与质量管控,为ELISA/CLIA检测注入精准内核,成为破解复杂检测难题的关键路径。

-
01-30
2026多克隆抗体定制:抗原设计与免疫方案
多克隆抗体定制过程中,抗原设计的科学性与免疫方案的合理性,是贯穿定制全过程的两大核心支柱。精准把控这两大环节的技术要点,层层夯实质量基础,能获得符合预期的高特异性、高效价多克隆抗体。

-
01-29
2026蛋白质免疫印迹服务如何保证结果准确性?
优质的蛋白质免疫印迹服务需以系统化质控标准贯穿全程,通过对实验各维度的精准把控,消除干扰因素,确保每一组数据都真实反映样本的蛋白表达状态。

-
01-29
2026从表达纯化到验证:昆虫细胞蛋白表达全攻略
深入掌握从表达启动到纯化、验证的全流程要点,是发挥昆虫细胞蛋白表达系统技术优势、获得高质量重组蛋白的关键。

-
01-28
2026NOS2抗体定制服务于炎症与免疫研究
NOS2抗体定制服务以科研需求为导向,通过技术优化与流程定制,为炎症与免疫研究提供了专属的解决方案。

-
01-28
2026IRAK4抗体在信号通路研究中的应用
IRAK4抗体凭借对靶分子的精准识别能力,已成为破解先天免疫信号通路调控规律、揭示病理生理关联的关键技术支撑,为免疫学与病理学研究提供坚实实验基础。

-
01-27
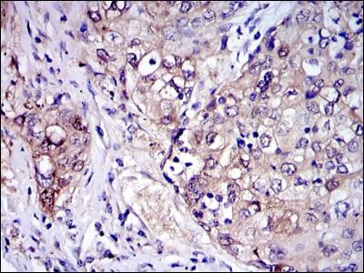
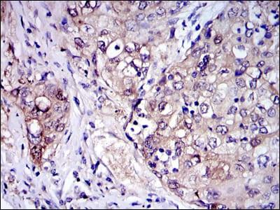
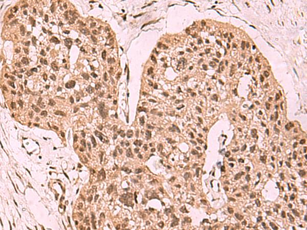
2026MMP9抗体在癌症研究中的应用
从肿瘤机制解析到诊疗策略开发,MMP9抗体的应用持续拓展研究边界,为破解癌症复杂病理过程提供了精准切入点

-
01-27
2026IRAK4抗体应用:靶点研究与抑制剂开发
IRAK4抗体凭借对靶分子的高特异性识别能力,成为解析靶点生物学特性、推动抑制剂研发的核心工具,为免疫相关疾病的机制研究与诊疗转化搭建起重要桥梁。


微信/QQ登录


首页

