提醒成功
搜索
新闻资讯
News and information-
10-23
2025CDKN2A慢病毒载体包装服务
专业的CDKN2A慢病毒载体包装服务,可帮助科研人员规避载体构建与包装过程中的技术难点,保障实验效率与数据可靠性。

-
10-23
2025GPC3慢病毒稳定细胞系构建
GPC3慢病毒稳定细胞系构建,可实现目的基因在细胞内长期、稳定的表达,为后续开展功能验证、药物筛选等实验提供标准化研究模型。

-
10-22
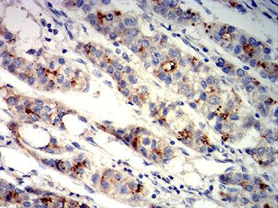
2025CDKN2A基因过表达慢病毒构建
分子生物学研究中,通过慢病毒载体实现CDKN2A基因的过表达,可有效探究该基因在细胞生理病理过程中的功能机制,为疾病机制研究及潜在治疗靶点筛选提供技术支撑。

-
10-22
2025IRAK4抗体磷酸化位点
IRAK4抗体磷酸化位点的精准定位与功能解析,不仅是分子生物学领域的研究重点,更为相关疾病的机制探索与靶向药物研发提供重要支撑。

-
10-21
2025GPC3抗体特异性检测
本文将深入解析GPC3抗体特异性检测检测技术的原理、方法及临床价值。

-
10-21
2025FOB重组单抗大规模生产OEM服务
FOB重组单抗大规模生产OEM服务,通过整合成熟生产体系与灵活协作机制,为企业提供从细胞培养到制剂成型的全链条代工支持,解决了传统生产中效率不足、成本高、合规风险等突出问题。

-
10-20
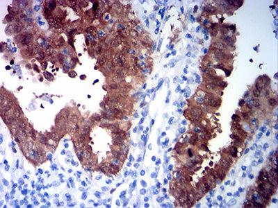
2025CDKN2A抗体Western Blot应用
Western Blot技术是检测蛋白质表达水平的经典手段,将CDKN2A抗体与Western Blot技术结合,为深入研究CDKN2A蛋白的功能及相关疾病机制提供了可靠工具。

-
10-20
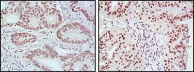
2025MLH1抗体免疫组化阳性对照样本要求
MLH1抗体免疫组化检测在病理诊断领域具有重要应用价值,其阳性对照样本作为检测过程中的关键参照,能够有效验证实验体系的有效性、抗体特异性及操作规范性,对保障检测结果可靠性意义重大。

-
10-16
2025FOB单抗缓冲液成分(甘油/防腐剂)说明
在FOB单抗缓冲液的配方设计中,甘油与防腐剂的选择和应用具有严谨的科学依据,二者通过特定作用机制,共同保障FOB单抗在生产、储存及使用过程中的质量与安全性。

-
10-16
2025SETDB1抗体核质定位ICC双标方案
本文围绕SETDB1抗体核质定位ICC双标实验,从实验设计、操作流程到结果验证,构建标准化方案,助力科研人员获得可靠实验数据。


微信/QQ登录


首页

