提醒成功
抗体介绍
introduction to antibodies产品推荐:THY1抗体
一、THY1的生物学功能
THY1抗体的靶点是THY1分子,也称为CD90。
1.基本特性:
名称:THY1(胸腺细胞抗原1),白细胞分化抗原命名为CD90。
结构:一种高度保守的、糖基磷脂酰肌醇锚定的细胞表面糖蛋白,属于免疫球蛋白超家族。
表达谱(关键所在):其表达具有显著的细胞类型和物种特异性,这是其功能多样性的基础。
小鼠/大鼠:在胸腺细胞、T细胞、神经元、成纤维细胞、造血干细胞等多种细胞上高表达。
人类:表达谱更局限。在成纤维细胞、间充质干细胞、内皮祖细胞、某些肿瘤细胞、活化的肝星状细胞上高表达,但在成熟的循环T细胞上不表达(这是与鼠类的重要区别)。
2.核心生物学功能:
THY1本身不具酶活性,其功能主要作为“共刺激/共抑制分子”和“细胞-细胞/细胞-基质相互作用调节器”,通过与其配体(如整合素)相互作用传递信号。
T细胞活化与调节:在小鼠中,THY1参与T细胞的激活、增殖和细胞因子产生。在人类中,其在T细胞功能中的角色仍有待阐明。
神经发育与可塑性:在神经系统发育过程中,THY1参与神经元迁移、轴突生长和突触形成。在成年脑中,其表达与突触稳定性和可塑性相关。
细胞粘附与迁移:通过与其配体(如整合素αvβ3)结合,调节细胞与细胞外基质(ECM)的粘附,从而影响细胞迁移、铺展和组织结构。
干细胞与祖细胞标志:是间充质干细胞的关键表面标志物之一,也用于鉴定其他类型的干细胞/祖细胞。
纤维化进程调控:在组织损伤后,THY1在活化的成纤维细胞/肌成纤维细胞上表达上调,促进其增殖、迁移和胶原分泌,是纤维化疾病的关键介质。
二、THY1抗体的核心应用领域
1.干细胞研究与再生医学
应用目的:THY1(CD90)是鉴定和分离人间充质干细胞(MSCs)的核心表面标志物之一(与CD73、CD105共表达)。通过流式细胞术分选THY1+细胞,可获得高纯度的MSCs用于体外扩增和功能研究。
研究方向:干细胞多能性、分化潜能(成骨、成脂、成软骨)、免疫调节功能以及其在组织工程和细胞治疗中的应用。
2.纤维化疾病研究(肝、肺、肾、皮肤等)
应用目的:THY1是活化成纤维细胞和肌成纤维细胞的标志物。在组织损伤修复过程中,THY1阴性的常驻成纤维细胞会转化为THY1阳性的促纤维化成纤维细胞。
研究方法:
检测:利用THY1抗体定位和量化纤维化病灶中的活化成纤维细胞。
干预:使用THY1抗体或其拮抗剂来研究阻断THY1信号能否抑制纤维化进程,为抗纤维化治疗提供新靶点。
3.免疫学研究
小鼠模型:THY1抗体是研究小鼠T细胞的经典工具。
T细胞耗竭:注射抗THY1抗体(如克隆OX-7)可消耗小鼠T细胞,用于构建免疫缺陷模型。
细胞激活:某些激动型抗THY1抗体(如克隆G7)可与非致死剂量LPS联合,诱导小鼠爆发性T细胞活化和细胞因子风暴模型(如模拟败血症)。
细胞分选:用于从小鼠淋巴组织中分选或去除T细胞。
4.神经科学研究
应用目的:研究THY1在神经发育、损伤修复和神经退行性疾病中的作用。
具体方向:
转基因小鼠:THY1启动子常用于驱动基因在神经元中特异性表达(如Thy1-GFP小鼠,用于标记神经元)。
功能研究:利用抗体研究THY1在轴突再生、突触可塑性和阿尔茨海默病等病理过程中的变化。
5.肿瘤生物学研究
双重角色:THY1在不同肿瘤中表达各异,可能作为肿瘤抑制因子或促进因子。
应用目的:
干细胞样肿瘤细胞:在某些肿瘤(如黑色素瘤、肝癌、胶质母细胞瘤)中,THY1被用作癌症干细胞(CSCs) 的表面标志物,与肿瘤起始、转移和耐药相关。
肿瘤微环境:研究肿瘤相关成纤维细胞(CAFs)中THY1的表达,及其对肿瘤生长和免疫逃逸的调控作用。
6.血管生物学研究
应用目的:THY1在血管周细胞和内皮祖细胞上表达,参与血管稳定、新生血管形成和血管重塑。
三、远泰生物THY1抗体产品列表
| 30546 | THY1 | CD90 | WB,IHC,IF | 7E1B11 | Monoclonal Antibody | Human,Rat |
| P11387 | THY1 | CD90 | IHC | Polyclonal Antibody | Human,Mouse,R | |
| 50977 | CD90 | THY1;Thy-1 memb | WB,IHC,IF,IP,ELISA | Monoclonal Antibody | Human,Mouse | |
| P20914 | CD90 | THY1;Thy-1 mem | WB,IHC | Monoclonal Antibody | Rat |
四、THY1鼠单抗产品特点(货号:30546)
黑线:对照抗原(100 ng);紫色线:抗原(10ng);蓝线:抗原(50 ng);红线:抗原(100 ng);
使用THY1小鼠mAb对T47D(1)、HepG2(2)和PC-12(3)细胞裂解液进行蛋白印迹分析。
使用THY1小鼠mAb(绿色)对Hela细胞进行免疫荧光分析。蓝色:DRAQ5荧光DNA染料。红色:phalloidin-AF555标记的肌动蛋白丝。
|
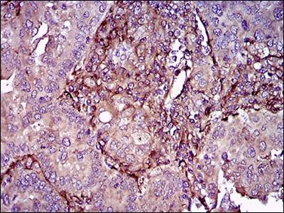
利用THY1小鼠单抗结合DAB染色对石蜡包埋的人类子宫内膜癌组织进行免疫组化分析。 |
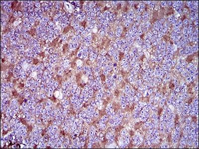
利用THY1小鼠单抗结合DAB染色对石蜡包埋的人类小脑组织进行免疫组化分析。 |
|
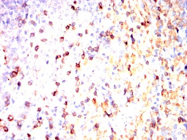
利用THY1小鼠单抗结合DAB染色对石蜡包埋大鼠脾脏进行免疫组化分析。 |
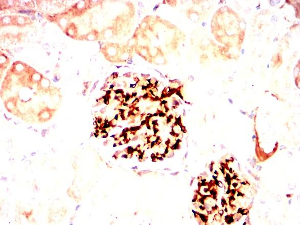
利用THY1小鼠单抗结合DAB染色对石蜡包埋大鼠肾脏的免疫组化分析。 |

微信/QQ登录


首页



