提醒成功
抗体介绍
introduction to antibodies产品推荐:PLAP抗体
一、PLAP的生物学功能
PLAP(Placental Alkaline Phosphatase,胎盘碱性磷酸酶)是一种主要在胎盘中表达的膜结合糖基化二聚体酶。近年来的研究发现,它在肿瘤发生、神经退行性疾病及免疫调节中扮演着多重角色。
PLAP抗体作为工具,其核心功能是特异性识别PLAP蛋白,主要用于:
检测功能:定性或半定量检测组织、细胞或血清中PLAP的存在与否及表达水平。
定位功能:精确地在组织切片中定位表达PLAP的细胞,辅助确定肿瘤的来源和性质。
鉴别功能:利用其特异的表达谱,在形态学相似的肿瘤中进行鉴别诊断。
二、PLAP抗体的核心应用领域
PLAP抗体的应用高度集中于临床病理诊断和相关的生殖细胞肿瘤研究。
1.肿瘤病理诊断与鉴别诊断(首要和最重要的应用)
PLAP抗体是诊断生殖细胞肿瘤(GCTs)的标志性抗体之一,尤其在男性睾丸和女性卵巢肿瘤中。
精原细胞瘤/无性细胞瘤:这两种相对应的生殖细胞肿瘤(睾丸/卵巢)的肿瘤细胞膜和胞浆通常呈强阳性表达PLAP。这是其与其它形态相似肿瘤(如淋巴瘤)鉴别的关键依据。
胚胎性癌:另一种高度恶性的生殖细胞肿瘤,也常显示PLAP阳性(通常为胞浆阳性),但强度和特异性不如精原细胞瘤。
卵黄囊瘤、绒毛膜癌:在这些非精原细胞瘤的生殖细胞肿瘤中,PLAP表达不定或局灶阳性,可作为辅助诊断标志物。
性腺外生殖细胞肿瘤:发生在纵隔、腹膜后、中枢神经系统等部位的生殖细胞肿瘤,PLAP同样是一个重要的诊断标志物。
2.其他肿瘤的诊断提示
部分卵巢癌和子宫内膜癌:少数上皮性肿瘤(特别是浆液性癌)可表达PLAP,但其诊断价值次于生殖细胞肿瘤。
精原细胞瘤vs.睾丸淋巴瘤:这是一个经典的鉴别诊断。精原细胞瘤PLAP(+)/CD117(+)/CD45(-),而淋巴瘤PLAP(-)/CD45(+)
3.细胞生物学与发育生物学研究
多能性干细胞标志物:PLAP(由ALPP基因编码)被认为是人类胚胎干细胞和多能性生殖细胞肿瘤细胞的一个表面标志物。在研究胚胎发育和干细胞特性时,PLAP抗体可用于鉴定和分离这些细胞群体。
滋养层细胞研究:用于研究胎盘发育、先兆子痫等妊娠相关疾病中滋养层细胞的功能和异常。
4.血清学检测(历史应用)
历史上,血清PLAP水平曾被用作监测精原细胞瘤治疗反应和复发的指标。但由于其敏感性和特异性不如更现代的标志物(如甲胎蛋白AFP、人绒毛膜促性腺激素hCG),目前已不常用。组织水平的免疫组化检测是其核心价值所在。
三、远泰生物PLAP抗体产品列表
| P18797 | PLAP | Glycerophosphat | WB,IHC/IHF,IF,IP | Monoclonal | Human | |
| 30061 | ALPP | ALP;PALP;PLAP | WB,IHC | 3E5 | Monoclonal Antibody | Human |
| 50759 | ALPP | ALPP;PLAP;Alkal | WB,IHC,IF,IP,ELISA | Monoclonal Antibody | Human,Mouse,Rat | |
| P08044 | ALPP | ALP;PALP;PLAP | WB,IHC | Polyclonal Antibody | Human | |
| P21859 | Placental Alkaline Phosph | ALPP;PLAP;AIk | WB | Monoclonal Antibody | Human |
四、PLAP鼠单抗产品特点(货号:30061)
使用ALPP小鼠单抗对HepG2(1)、A431(2)和MCF-7(3)细胞裂解物进行蛋白印迹分析。
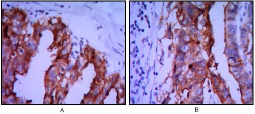
使用ALPP小鼠单抗(DAB染色)对石蜡包埋的人卵巢癌(A)和胃癌(B)组织进行免疫组化分析。

微信/QQ登录


首页