提醒成功

搜索
Rabbit Polyclonal Antibody to CYP20A1
-
货号:
P30352 -
别名:
Cytochrome P450 20A1, 114--, CYP20A1 -
应用:
WB,IHC-P,FCM -
反应种属:
Human -
抗体类型:
Primary antibody -
Swissprot:
Q6UW02 -
规格:
-
数量:
-+ -
说明书:
目录价¥1980

Rabbit Polyclonal Antibody to CYP20A1
Description |
---|
CYP20A1 is a member of the cytochrome P450 superfamily of enzymes. The cytochrome P450 proteins are monooxygenases that catalyze many reactions involved in drug metabolism and synthesis of cholesterol, steroids and other lipids. The protein lacks one amino acid of the conserved heme binding site. It also lacks the conserved I-helix motif AGX(D,E)T, suggesting that its substrate may carry its own oxygen. |
Specification |
|
---|---|
Aliases | Cytochrome P450 20A1, 114--, CYP20A1 |
Entrez GeneID | 57404 |
Swissprot | Q6UW02 |
WB Predicted band size | 52.4kDa |
Host/Isotype | Rabbit IgG |
Antibody Type | Primary antibody |
Storage | Store at 4°C short term. Aliquot and store at -20°C long term. Avoid freeze/thaw cycles. |
Species Reactivity | Human |
Immunogen | This CYP20A1 antibody is generated from rabbits immunized with a KLH conjugated synthetic peptide between 364-392 amino acids from the C-terminal region of human CYP20A1. |
Formulation | Purified antibody in PBS with 0.05% sodium azide,1%BSA and 50% glycerol.prepared by Saturated Ammonium Sulfate (SAS) . |
Application |
|
---|---|
WB | 1/1000 |
IHC | 1/100-1/500 |
FCM | 1/10-1/50 |
Product Image
- Western blot analysis of CYP20A1(arrow) using rabbit polyclonal CYP20A1 Antibody (C-term)(Cat.#P30352). 293 cell lysates (2 ug/lane) either nontransfected (Lane 1) or transiently transfected with the CYP20A1 gene (Lane 2) (Origene Technologies).
- Flow cytometric analysis of NCI-H292 cells using CYP20A1 Antibody (C-term)(bottom histogram) compared to a negative control cell (top histogram). FITC-conjugated goat-anti-rabbit secondary antibodies were used for the analysis.
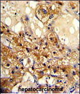
- Formalin-fixed and paraffin-embedded human hepatocarcinoma with CYP20A1 Antibody (C-term), which was peroxidase-conjugated to the secondary antibody, followed by DAB staining. This data demonstrates the use of this antibody for immunohistochemistry; clinical relevance has not been evaluated.
For Reseach Only
Application Key:WB - Western Blot | IHC - Immunohistochemistry | ICC - Immunocytochemistry | FCM - Flow Cytometry | ELISA - Enzyme-linked Immunosorbent Assay | IP - Immunoprecipitation
#P30352

相关产品


