提醒成功

搜索
Rabbit Polyclonal Antibody to GOLPH3
-
货号:
P30342 -
别名:
Golgi phosphoprotein 3, Coat protein GPP34, Mitochondrial DNA absence factor, MIDAS, GOLPH3, GPP34 -
应用:
WB,IHC-P,FCM -
反应种属:
Human, Mouse -
抗体类型:
Primary antibody -
Swissprot:
Q9H4A6 -
规格:
-
数量:
-+ -
说明书:
目录价¥1980

Rabbit Polyclonal Antibody to GOLPH3
Description |
---|
The Golgi complex plays a key role in the sorting and modification of proteins exported from the endoplasmic reticulum. This protein encoded by this gene is a peripheral membrane protein of the Golgi stack and may have a regulatory role in Golgi trafficking. |
Specification |
|
---|---|
Aliases | Golgi phosphoprotein 3, Coat protein GPP34, Mitochondrial DNA absence factor, MIDAS, GOLPH3, GPP34 |
Entrez GeneID | 64083 |
Swissprot | Q9H4A6 |
WB Predicted band size | 33.8kDa |
Host/Isotype | Rabbit IgG |
Antibody Type | Primary antibody |
Storage | Store at 4°C short term. Aliquot and store at -20°C long term. Avoid freeze/thaw cycles. |
Species Reactivity | Human, Mouse |
Immunogen | This GOLPH3 antibody is generated from rabbits immunized with a KLH conjugated synthetic peptide between 251-279 amino acids from the C-terminal region of human GOLPH3. |
Formulation | Purified antibody in PBS with 0.05% sodium azide,1%BSA and 50% glycerol.prepared by Saturated Ammonium Sulfate (SAS) . |
Application |
|
---|---|
WB | 1/1000 |
IHC | 1/100-1/500 |
FCM | 1/10-1/50 |
Product Image
- Western blot analysis of anti-GOLPH3 Antibody (C-term)(Cat.#P30342) in mouse lung tissue lysates (35ug/lane). GOLPH3 (arrow) was detected using the purified Pab.
- Flow cytometric analysis of hela cells using GOLPH3 Antibody (C-term)(bottom histogram) compared to a negative control cell (top histogram). FITC-conjugated goat-anti-rabbit secondary antibodies were used for the analysis.
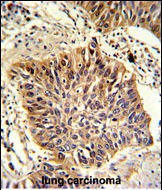
- Formalin-fixed and paraffin-embedded human lung carcinoma with GOLPH3 Antibody (C-term), which was peroxidase-conjugated to the secondary antibody, followed by DAB staining. This data demonstrates the use of this antibody for immunohistochemistry; clinical relevance has not been evaluated.
For Reseach Only
Application Key:WB - Western Blot | IHC - Immunohistochemistry | ICC - Immunocytochemistry | FCM - Flow Cytometry | ELISA - Enzyme-linked Immunosorbent Assay | IP - Immunoprecipitation
#P30342

相关产品


