提醒成功

搜索
Rabbit Polyclonal Antibody to ALOX5AP
-
货号:
P30336 -
别名:
Arachidonate 5-lipoxygenase-activating protein, FLAP, MK-886-binding protein, ALOX5AP, FLAP -
应用:
WB,IHC-P -
反应种属:
Human -
抗体类型:
Primary antibody -
Swissprot:
P20292 -
规格:
-
数量:
-+ -
说明书:
目录价¥1980

Rabbit Polyclonal Antibody to ALOX5AP
Description |
---|
ALOX5AP is a protein which, with 5-lipoxygenase, is required for leukotriene synthesis. Leukotrienes are arachidonic acid metabolites which have been implicated in various types of inflammatory responses, including asthma, arthritis and psoriasis. This protein localizes to the plasma membrane. Inhibitors of its function impede translocation of 5-lipoxygenase from the cytoplasm to the cell membrane and inhibit 5-lipoxygenase activation. |
Specification |
|
---|---|
Aliases | Arachidonate 5-lipoxygenase-activating protein, FLAP, MK-886-binding protein, ALOX5AP, FLAP |
Entrez GeneID | 241 |
Swissprot | P20292 |
WB Predicted band size | 18.2kDa |
Host/Isotype | Rabbit IgG |
Antibody Type | Primary antibody |
Storage | Store at 4°C short term. Aliquot and store at -20°C long term. Avoid freeze/thaw cycles. |
Species Reactivity | Human |
Immunogen | This ALOX5AP antibody is generated from rabbits immunized with a KLH conjugated synthetic peptide between 86-117 amino acids from the Central region of human ALOX5AP. |
Formulation | Purified antibody in PBS with 0.05% sodium azide,1%BSA and 50% glycerol.prepared by Saturated Ammonium Sulfate (SAS) . |
Application |
|
---|---|
WB | 1/1000 |
IHC | 1/100-1/500 |
Product Image
- Western blot analysis of anti-ALOX5AP Antibody (Center) (Cat.#P30336) in K562 cell line lysates (35ug/lane). ALOX5AP(arrow) was detected using the purified Pab.
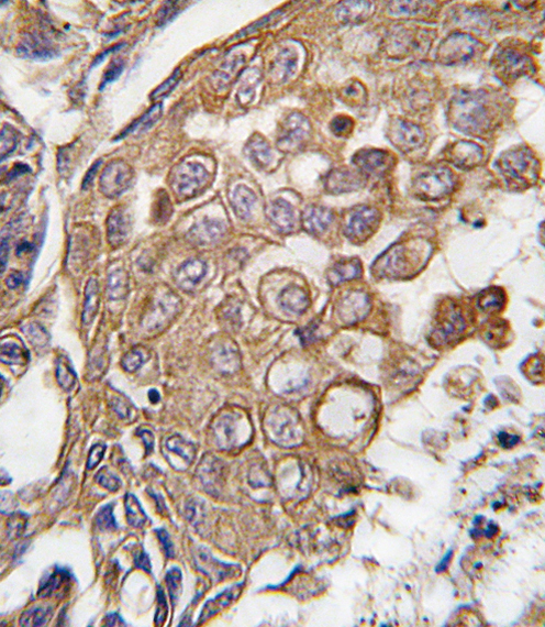
- Formalin-fixed and paraffin-embedded human lung carcinoma tissue reacted with ALOX5AP antibody (Center), which was peroxidase-conjugated to the secondary antibody, followed by DAB staining. This data demonstrates the use of this antibody for immunohistochemistry; clinical relevance has not been evaluated.
For Reseach Only
Application Key:WB - Western Blot | IHC - Immunohistochemistry | ICC - Immunocytochemistry | FCM - Flow Cytometry | ELISA - Enzyme-linked Immunosorbent Assay | IP - Immunoprecipitation
#P30336

相关产品


