提醒成功

搜索
Rabbit Polyclonal Antibody to XTP3TPA (N-term)
-
货号:
P30332 -
别名:
dCTP pyrophosphatase 1, Deoxycytidine-triphosphatase 1, dCTPase 1, RS21C6, XTP3-transactivated gene A protein, DCTPP1, XTP3TPA -
应用:
WB,IHC-P -
反应种属:
Human -
抗体类型:
Primary antibody -
Swissprot:
Q9H773 -
规格:
-
数量:
-+ -
说明书:
目录价¥1980

Rabbit Polyclonal Antibody to XTP3TPA (N-term)
Specification |
|
---|---|
Aliases | dCTP pyrophosphatase 1, Deoxycytidine-triphosphatase 1, dCTPase 1, RS21C6, XTP3-transactivated gene A protein, DCTPP1, XTP3TPA |
Entrez GeneID | 79077 |
Swissprot | Q9H773 |
WB Predicted band size | 18.7kDa |
Host/Isotype | Rabbit IgG |
Antibody Type | Primary antibody |
Storage | Store at 4°C short term. Aliquot and store at -20°C long term. Avoid freeze/thaw cycles. |
Species Reactivity | Human |
Immunogen | This XTP3TPA antibody is generated from rabbits immunized with a KLH conjugated synthetic peptide between 12-40 amino acids from the N-terminal region of human XTP3TPA. |
Formulation | Purified antibody in PBS with 0.05% sodium azide,1%BSA and 50% glycerol.prepared by Saturated Ammonium Sulfate (SAS) . |
Application |
|
---|---|
WB | 1/1000 |
IHC | 1/100-1/500 |
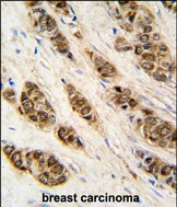
Product Image
- Western blot analysis of anti-XTP3TPA Antibody (N-term) (Cat.#P30332) in HepG2 cell line lysates (35ug/lane). XTP3TPA(arrow) was detected using the purified Pab.
- Formalin-fixed and paraffin-embedded human breast carcinoma tissue reacted with XTP3TPA antibody (N-term), which was peroxidase-conjugated to the secondary antibody, followed by DAB staining. This data demonstrates the use of this antibody for immunohistochemistry; clinical relevance has not been evaluated.
For Reseach Only
Application Key:WB - Western Blot | IHC - Immunohistochemistry | ICC - Immunocytochemistry | FCM - Flow Cytometry | ELISA - Enzyme-linked Immunosorbent Assay | IP - Immunoprecipitation
#P30332

相关产品


