提醒成功

搜索
Rabbit Polyclonal Antibody to RMND5B
-
货号:
P30329 -
别名:
Protein RMD5 homolog B, RMND5B -
应用:
WB,IHC-P -
反应种属:
Human -
抗体类型:
Primary antibody -
Swissprot:
Q96G75 -
规格:
-
数量:
-+ -
说明书:
目录价¥1980

Rabbit Polyclonal Antibody to RMND5B
Specification |
|
---|---|
Aliases | Protein RMD5 homolog B, RMND5B |
Entrez GeneID | 64777 |
Swissprot | Q96G75 |
WB Predicted band size | 44.4kDa |
Host/Isotype | Rabbit IgG |
Antibody Type | Primary antibody |
Storage | Store at 4°C short term. Aliquot and store at -20°C long term. Avoid freeze/thaw cycles. |
Species Reactivity | Human |
Immunogen | This RMND5B antibody is generated from rabbits immunized with a KLH conjugated synthetic peptide between 347-375 amino acids from the C-terminal region of human RMND5B. |
Formulation | Purified antibody in PBS with 0.05% sodium azide,1%BSA and 50% glycerol.prepared by Saturated Ammonium Sulfate (SAS) . |
Application |
|
---|---|
WB | 1/1000 |
IHC | 1/100-1/500 |
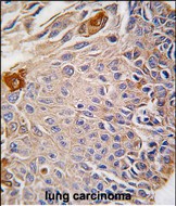
Product Image
- Western blot analysis of anti-RMND5B Antibody (C-term)(Cat.#P30329) in NCI-H460 cell line lysates (35ug/lane). RMND5B(arrow) was detected using the purified Pab.
- Western blot analysis of RMND5B (arrow) using rabbit polyclonal RMND5B Antibody (C-term) (Cat.#P30329). 293 cell lysates (2 ug/lane) either nontransfected (Lane 1) or transiently transfected (Lane 2) with the RMND5B gene.
- Formalin-fixed and paraffin-embedded human lung carcinoma reacted with RMND5B antibody (C-term), which was peroxidase-conjugated to the secondary antibody, followed by DAB staining. This data demonstrates the use of this antibody for immunohistochemistry; clinical relevance has not been evaluated.
For Reseach Only
Application Key:WB - Western Blot | IHC - Immunohistochemistry | ICC - Immunocytochemistry | FCM - Flow Cytometry | ELISA - Enzyme-linked Immunosorbent Assay | IP - Immunoprecipitation
#P30329

相关产品


