提醒成功

搜索
Rabbit Polyclonal Antibody to mouse BID (S61)
-
货号:
P30328 -
别名:
BH3-interacting domain death agonist, p22 BID, BID, BH3-interacting domain death agonist p15, p15 BID, BH3-interacting domain death agonist p13, p13 BID, BH3-interacting domain death agonist p11, p11 BID, Bid -
应用:
WB,IHC-P,IF -
反应种属:
Mouse -
抗体类型:
Primary antibody -
Swissprot:
P70444 -
规格:
-
数量:
-+ -
说明书:
目录价¥1980

Rabbit Polyclonal Antibody to mouse BID (S61)
Description |
---|
Bid is a death agonist that heterodimerizes with either agonist BAX or antagonist BCL2. Bid is a member of the BCL-2 family of cell death regulators. It is a mediator of mitochondrial damage induced by caspase-8 (CASP8); CASP8 cleaves this encoded protein, and the COOH-terminal part translocates to mitochondria where it triggers cytochrome c release. |
Specification |
|
---|---|
Aliases | BH3-interacting domain death agonist, p22 BID, BID, BH3-interacting domain death agonist p15, p15 BID, BH3-interacting domain death agonist p13, p13 BID, BH3-interacting domain death agonist p11, p11 BID, Bid |
Entrez GeneID | 12122 |
Swissprot | P70444 |
WB Predicted band size | 22.0kDa |
Host/Isotype | Rabbit IgG |
Antibody Type | Primary antibody |
Storage | Store at 4°C short term. Aliquot and store at -20°C long term. Avoid freeze/thaw cycles. |
Species Reactivity | Mouse |
Immunogen | This mouse BID antibody is generated from rabbits immunized with a KLH conjugated synthetic peptide between 39-68 amino acids from mouse BID. |
Formulation | Purified antibody in PBS with 0.05% sodium azide. |
Application |
|
---|---|
WB | 1/1000 |
IHC | 1/100-1/500 |
IF/ICC | 1/10-1/50 |
Product Image
- Western blot analysis of anti-mouse BID Antibody (S61) (Cat.#P30328) in mouse spleen tissue lysates (35ug/lane). BID (arrow) was detected using the purified Pab .
- mouse BID Antibody (S61) (Cat.#P30328) FC analysis of MCF-7 cells (bottom histogram) compared to a negative control cell (top histogram). FITC-conjugated goat-anti-rabbit secondary antibodies were used for the analysis.
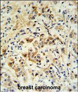
- mouse BID Antibody (S61)(Cat.#P30328) IHC analysis in formalin fixed and paraffin embedded human breast carcinoma followed by peroxidase conjugation of the secondary antibody and DAB staining. This data demonstrates the use of the mouse BID Antibody (S61) for immunohistochemistry. Clinical relevance has not been evaluated.
For Reseach Only
Application Key:WB - Western Blot | IHC - Immunohistochemistry | ICC - Immunocytochemistry | FCM - Flow Cytometry | ELISA - Enzyme-linked Immunosorbent Assay | IP - Immunoprecipitation
#P30328

相关产品


