提醒成功

搜索
Rabbit Polyclonal Antibody to SARS2
-
货号:
P30325 -
别名:
Serine--tRNA ligase, mitochondrial, SerRSmt, Seryl-tRNA synthetase, SerRS, Seryl-tRNA(Ser/Sec) synthetase, SARS2, SARSM -
应用:
WB,IHC-P -
反应种属:
Human -
抗体类型:
Primary antibody -
Swissprot:
Q9NP81 -
规格:
-
数量:
-+ -
说明书:
目录价¥1980

Rabbit Polyclonal Antibody to SARS2
Description |
---|
SARS2 catalyzes the attachment of serine to tRNA(Ser). It is also able to aminoacylate tRNA(Sec) with serine, to form the misacylated tRNA L-seryl-tRNA(Sec), which will be further converted into selenocysteinyl-tRNA(Sec). |
Specification |
|
---|---|
Aliases | Serine--tRNA ligase, mitochondrial, SerRSmt, Seryl-tRNA synthetase, SerRS, Seryl-tRNA(Ser/Sec) synthetase, SARS2, SARSM |
Entrez GeneID | 54938 |
Swissprot | Q9NP81 |
WB Predicted band size | 58.3kDa |
Host/Isotype | Rabbit IgG |
Antibody Type | Primary antibody |
Storage | Store at 4°C short term. Aliquot and store at -20°C long term. Avoid freeze/thaw cycles. |
Species Reactivity | Human |
Immunogen | This SARS2 antibody is generated from rabbits immunized with a KLH conjugated synthetic peptide between 315-344 amino acids from the Central region of human SARS2. |
Formulation | Purified antibody in PBS with 0.05% sodium azide,1%BSA and 50% glycerol.prepared by Saturated Ammonium Sulfate (SAS) . |
Application |
|
---|---|
WB | 1/1000 |
IHC | 1/100-1/500 |
Product Image
- Western blot analysis of SARS2 Antibody (Center) (Cat. #P30325) in Hela cell line lysates (35ug/lane). SARS2 (arrow) was detected using the purified Pab.
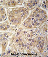
- Formalin-fixed and paraffin-embedded human hepatocarcinoma tissue reacted with SARS2 antibody (Center) (Cat.#P30325), which was peroxidase-conjugated to the secondary antibody, followed by DAB staining. This data demonstrates the use of this antibody for immunohistochemistry; clinical relevance has not been evaluated.
For Reseach Only
Application Key:WB - Western Blot | IHC - Immunohistochemistry | ICC - Immunocytochemistry | FCM - Flow Cytometry | ELISA - Enzyme-linked Immunosorbent Assay | IP - Immunoprecipitation
#P30325

相关产品


