提醒成功

搜索
Rabbit Polyclonal Antibody to MIPEP
-
货号:
P30316 -
别名:
Mitochondrial intermediate peptidase, MIP, MIPEP, MIP -
应用:
WB,IHC-P -
反应种属:
Human -
抗体类型:
Primary antibody -
Swissprot:
Q99797 -
规格:
-
数量:
-+ -
说明书:
目录价¥1980

Rabbit Polyclonal Antibody to MIPEP
Description |
---|
MIPEP performs the final step in processing a specific class of nuclear-encoded proteins targeted to the mitochondrial matrix or inner membrane. This protein is primarily involved in the maturation of oxidative phosphorylation (OXPHOS)-related proteins. It may contribute to the functional effects of frataxin deficiency and the clinical manifestations of Friedreich ataxia. |
Specification |
|
---|---|
Aliases | Mitochondrial intermediate peptidase, MIP, MIPEP, MIP |
Entrez GeneID | 4285 |
Swissprot | Q99797 |
WB Predicted band size | 80.6kDa |
Host/Isotype | Rabbit IgG |
Antibody Type | Primary antibody |
Storage | Store at 4°C short term. Aliquot and store at -20°C long term. Avoid freeze/thaw cycles. |
Species Reactivity | Human |
Immunogen | This MIPEP antibody is generated from rabbits immunized with a KLH conjugated synthetic peptide between 307-336 amino acids from the Central region of human MIPEP. |
Formulation | Purified antibody in PBS with 0.05% sodium azide,1%BSA and 50% glycerol.prepared by Saturated Ammonium Sulfate (SAS) . |
Application |
|
---|---|
WB | 1/1000 |
IHC | 1/100-1/500 |
Product Image
- Western blot analysis of anti-MIPEP Antibody (Center) (Cat.#P30316) in 293 cell line lysates (35ug/lane). MIPEP (arrow) was detected using the purified Pab.
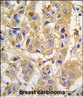
- Formalin-fixed and paraffin-embedded human breast carcinoma tissue reacted with MIPEP antibody (Center), which was peroxidase-conjugated to the secondary antibody, followed by DAB staining. This data demonstrates the use of this antibody for immunohistochemistry; clinical relevance has not been evaluated.
For Reseach Only
Application Key:WB - Western Blot | IHC - Immunohistochemistry | ICC - Immunocytochemistry | FCM - Flow Cytometry | ELISA - Enzyme-linked Immunosorbent Assay | IP - Immunoprecipitation
#P30316

相关产品


