提醒成功

搜索
Rabbit Polyclonal Antibody to BICD2
-
货号:
P30315 -
别名:
Protein bicaudal D homolog 2, Bic-D 2, BICD2, KIAA0699 -
应用:
WB,IHC-P -
反应种属:
Human -
抗体类型:
Primary antibody -
Swissprot:
Q8TD16 -
规格:
-
数量:
-+ -
说明书:
目录价¥1980

Rabbit Polyclonal Antibody to BICD2
Description |
---|
BICD2 is one of two human homologs of Drosophila bicaudal-D and a member of the Bicoid family. It has been implicated in dynein-mediated, minus end-directed motility along microtubules. It has also been reported to be a phosphorylation target of NIMA related kinase 8. |
Specification |
|
---|---|
Aliases | Protein bicaudal D homolog 2, Bic-D 2, BICD2, KIAA0699 |
Entrez GeneID | 23299 |
Swissprot | Q8TD16 |
WB Predicted band size | 93.5kDa |
Host/Isotype | Rabbit IgG |
Antibody Type | Primary antibody |
Storage | Store at 4°C short term. Aliquot and store at -20°C long term. Avoid freeze/thaw cycles. |
Species Reactivity | Human |
Immunogen | This BICD2 antibody is generated from rabbits immunized with a KLH conjugated synthetic peptide between 787-818 amino acids from the C-terminal region of human BICD2. |
Formulation | Purified antibody in PBS with 0.05% sodium azide,1%BSA and 50% glycerol.prepared by Saturated Ammonium Sulfate (SAS) . |
Application |
|
---|---|
WB | 1/1000 |
IHC | 1/100-1/500 |
Product Image
- Western blot analysis of anti-BICD2 Antibody (C-term) (Cat.#P30315) in K562 cell line lysates (35ug/lane). BICD2(arrow) was detected using the purified Pab.
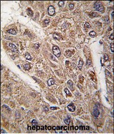
- Formalin-fixed and paraffin-embedded human hepatocarcinoma tissue reacted with BICD2 antibody (C-term) (Cat.#P30315), which was peroxidase-conjugated to the secondary antibody, followed by DAB staining. This data demonstrates the use of this antibody for immunohistochemistry; clinical relevance has not been evaluated.
For Reseach Only
Application Key:WB - Western Blot | IHC - Immunohistochemistry | ICC - Immunocytochemistry | FCM - Flow Cytometry | ELISA - Enzyme-linked Immunosorbent Assay | IP - Immunoprecipitation
#P30315

相关产品


