提醒成功

搜索
Rabbit Polyclonal Antibody to PUM2 (N-term)
-
货号:
P30314 -
别名:
Pumilio homolog 2, Pumilio-2, PUM2, KIAA0235, PUMH2 -
应用:
WB,IHC-P -
反应种属:
Human -
抗体类型:
Primary antibody -
Swissprot:
Q8TB72 -
规格:
-
数量:
-+ -
说明书:
目录价¥1980

Rabbit Polyclonal Antibody to PUM2 (N-term)
Description |
---|
PUM2 is a member of the PUF family, evolutionarily conserved RNA-binding proteins related to the Pumilio proteins of Drosophila and the fem-3 mRNA binding factor proteins of C. elegans. This protein contains a sequence-specific RNA binding domain comprised of eight repeats and N- and C-terminal flanking regions, and serves as a translational regulator of specific mRNAs by binding to their 3' untranslated regions. The evolutionarily conserved function of this protein in invertebrates and lower vertebrates suggests that the human protein may be involved in translational regulation of embryogenesis, and cell development and differentiation. |
Specification |
|
---|---|
Aliases | Pumilio homolog 2, Pumilio-2, PUM2, KIAA0235, PUMH2 |
Entrez GeneID | 23369 |
Swissprot | Q8TB72 |
WB Predicted band size | 114.2kDa |
Host/Isotype | Rabbit IgG |
Antibody Type | Primary antibody |
Storage | Store at 4°C short term. Aliquot and store at -20°C long term. Avoid freeze/thaw cycles. |
Species Reactivity | Human |
Immunogen | This PUM2 antibody is generated from rabbits immunized with a KLH conjugated synthetic peptide between 133-162 amino acids from the N-terminal region of human PUM2. |
Formulation | Purified antibody in PBS with 0.05% sodium azide. |
Application |
|
---|---|
WB | 1/1000 |
IHC | 1/100-1/500 |
Product Image
- Western blot analysis of PUM2 (arrow) using rabbit polyclonal PUM2 Antibody (N-term) (Cat.#P30314). 293 cell lysates (2 ug/lane) either nontransfected (Lane 1) or transiently transfected with the PUM2 gene (Lane 2) (Origene Technologies).
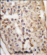
- Formalin-fixed and paraffin-embedded human testis tissue reacted with PUM2 Antibody (C-term) (Cat.#P30314), which was peroxidase-conjugated to the secondary antibody, followed by DAB staining. This data demonstrates the use of this antibody for immunohistochemistry; clinical relevance has not been evaluated.
For Reseach Only
Application Key:WB - Western Blot | IHC - Immunohistochemistry | ICC - Immunocytochemistry | FCM - Flow Cytometry | ELISA - Enzyme-linked Immunosorbent Assay | IP - Immunoprecipitation
#P30314

相关产品


