提醒成功

搜索
Rabbit Polyclonal Antibody to HDBP2(HDRF-2)
-
货号:
P30290 -
别名:
Zinc finger protein 395, HD-regulating factor 2, HDRF-2, Huntington disease gene regulatory region-binding protein 2, HD gene regulatory region-binding protein 2, HDBP-2, Papillomavirus regulatory factor 1, PRF-1, Papillomavirus-binding factor, ZNF395, HDBP2, PBF -
应用:
WB,IHC-P -
反应种属:
Human -
抗体类型:
Primary antibody -
Swissprot:
Q9H8N7 -
规格:
-
数量:
-+ -
说明书:
目录价¥1980

Rabbit Polyclonal Antibody to HDBP2(HDRF-2)
Description |
---|
Papillomavirus Regulatory Factor 1/HDBP2 is a novel transcription factor shuttling between nucleus and cytoplasm and binds to the specific GCCGGCG, which is an essential cis-element for Huntington's disease gene expression. |
Specification |
|
---|---|
Aliases | Zinc finger protein 395, HD-regulating factor 2, HDRF-2, Huntington disease gene regulatory region-binding protein 2, HD gene regulatory region-binding protein 2, HDBP-2, Papillomavirus regulatory factor 1, PRF-1, Papillomavirus-binding factor, ZNF395, HDBP2, PBF |
Entrez GeneID | 55893 |
Swissprot | Q9H8N7 |
WB Predicted band size | 54.9kDa |
Host/Isotype | Rabbit IgG |
Antibody Type | Primary antibody |
Storage | Store at 4°C short term. Aliquot and store at -20°C long term. Avoid freeze/thaw cycles. |
Species Reactivity | Human |
Immunogen | This HDBP2(HDRF-2) antibody is generated from rabbits immunized with a KLH conjugated synthetic peptide between 141-170 amino acids from the Central region of human HDBP2(HDRF-2). |
Formulation | Purified antibody in PBS with 0.05% sodium azide. |
Application |
|
---|---|
WB | 1/1000 |
IHC | 1/100-1/500 |
Product Image
- Western blot analysis of anti-HDBP2(HDRF-2) Antibody (Center) (Cat. #P30290) in Y79 cell line lysates (35ug/lane). HDBP2(arrow) was detected using the purified Pab.
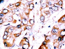
- Formalin-fixed and paraffin-embedded human Hepatocellular carcinoma reacted with anti-HDBP2(HDRF-2) Antibody (Center), which was peroxidase-conjugated to the secondary antibody, followed by DAB staining. This data demonstrates the use of this antibody for immunohistochemistry; clinical relevance has not been evaluated.
For Reseach Only
Application Key:WB - Western Blot | IHC - Immunohistochemistry | ICC - Immunocytochemistry | FCM - Flow Cytometry | ELISA - Enzyme-linked Immunosorbent Assay | IP - Immunoprecipitation
#P30290

相关产品


