提醒成功
搜索
Rabbit Polyclonal Antibody to Tyrosyl tRNA synthetase (YARS)
-
货号:
P30273 -
别名:
Tyrosine--tRNA ligase, cytoplasmic, Tyrosyl-tRNA synthetase, TyrRS, Tyrosine--tRNA ligase, cytoplasmic, N-terminally processed, YARS -
应用:
WB,IHC-P -
反应种属:
Human -
抗体类型:
Primary antibody -
Swissprot:
P54577 -
规格:
-
数量:
-+ -
说明书:
目录价¥1980
Rabbit Polyclonal Antibody to Tyrosyl tRNA synthetase (YARS)
Description |
|---|
Aminoacyl-tRNA synthetases catalyze the aminoacylation of tRNA by their cognate amino acid. Because of their central role in linking amino acids with nucleotide triplets contained in tRNAs, aminoacyl-tRNA synthetases are thought to be among the first proteins that appeared in evolution. Tyrosyl-tRNA synthetase belongs to the class I tRNA synthetase family. Cytokine activities have also been observed for the human tyrosyl-tRNA synthetase, after it is split into two parts, an N-terminal fragment that harbors the catalytic site and a C-terminal fragment found only in the mammalian enzyme. The N-terminal fragment is an interleukin-8-like cytokine, whereas the released C-terminal fragment is an EMAP II-like cytokine. |
Specification |
|
|---|---|
| Aliases | Tyrosine--tRNA ligase, cytoplasmic, Tyrosyl-tRNA synthetase, TyrRS, Tyrosine--tRNA ligase, cytoplasmic, N-terminally processed, YARS |
| Entrez GeneID | 8565 |
| Swissprot | P54577 |
| WB Predicted band size | 59.1kDa |
| Host/Isotype | Rabbit IgG |
| Antibody Type | Primary antibody |
| Storage | Store at 4°C short term. Aliquot and store at -20°C long term. Avoid freeze/thaw cycles. |
| Species Reactivity | Human |
| Immunogen | This Tyrosyl tRNA synthetase (YARS) antibody is generated from rabbits immunized with a KLH conjugated synthetic peptide between 450-479 amino acids from the C-terminal region of human Tyrosyl tRNA synthetase (YARS). |
| Formulation | Purified antibody in PBS with 0.05% sodium azide,1%BSA and 50% glycerol.prepared by Saturated Ammonium Sulfate (SAS) . |
Application |
|
|---|---|
| WB | 1/1000 |
| IHC | 1/100-1/500 |
Product Image
- Western blot analysis of anti-YARS Antibody (C-term) (Cat.#P30273) in CEM cell line lysates (35ug/lane). YARS(arrow) was detected using the purified Pab.
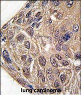
- Formalin-fixed and paraffin-embedded human lung carcinoma tissue reacted with YARS antibody (C-term) (Cat.#P30273), which was peroxidase-conjugated to the secondary antibody, followed by DAB staining. This data demonstrates the use of this antibody for immunohistochemistry; clinical relevance has not been evaluated.
For Reseach Only
Application Key:WB - Western Blot | IHC - Immunohistochemistry | ICC - Immunocytochemistry | FCM - Flow Cytometry | ELISA - Enzyme-linked Immunosorbent Assay | IP - Immunoprecipitation
#P30273
相关产品

微信/QQ登录


首页
