提醒成功
搜索
Rabbit Polyclonal Antibody to LGR5 (GPR49)
-
货号:
P30269 -
别名:
Leucine-rich repeat-containing G-protein coupled receptor 5, G-protein coupled receptor 49, G-protein coupled receptor 67, G-protein coupled receptor HG38, LGR5, GPR49, GPR67 -
应用:
WB,IHC-P,FCM -
反应种属:
Human -
抗体类型:
Primary antibody -
Swissprot:
O75473 -
规格:
-
数量:
-+ -
说明书:
目录价¥1980
Rabbit Polyclonal Antibody to LGR5 (GPR49)
Description |
|---|
LGR5/GPR49 is an orphan receptor. It may be an important receptor for signals controlling growth and differentiation of specific embryonic tissues. |
Specification |
|
|---|---|
| Aliases | Leucine-rich repeat-containing G-protein coupled receptor 5, G-protein coupled receptor 49, G-protein coupled receptor 67, G-protein coupled receptor HG38, LGR5, GPR49, GPR67 |
| Entrez GeneID | 8549 |
| Swissprot | O75473 |
| WB Predicted band size | 100.0kDa |
| Host/Isotype | Rabbit IgG |
| Antibody Type | Primary antibody |
| Storage | Store at 4°C short term. Aliquot and store at -20°C long term. Avoid freeze/thaw cycles. |
| Species Reactivity | Human |
| Immunogen | This LGR5 (GPR49) antibody is generated from rabbits immunized with a KLH conjugated synthetic peptide between 443-473 amino acids from the Central region of human LGR5 (GPR49). |
| Formulation | Purified antibody in PBS with 0.05% sodium azide,1%BSA and 50% glycerol.prepared by Saturated Ammonium Sulfate (SAS) . |
Application |
|
|---|---|
| WB | 1/1000 |
| IHC | 1/100-1/500 |
| FCM | 1/10-1/50 |
Product Image
- Western blot analysis of anti-LGR5/GPR49 Antibody (Center) (Cat.#P30269) in K562 cell line lysates (35ug/lane). LGR5/GPR49(arrow) was detected using the purified Pab.
- LGR5/GPR49 Antibody (Center) (Cat.#P30269) western blot analysis in HepG2 cell line lysates (35ug/lane).This demonstrates the LGR5/GPR49 antibody detected the LGR5/GPR49 protein (arrow)(Kindly offered by Dr. Li).
- LGR5 (GPR49) Antibody (Center) (Cat. #P30269) flow cytometric analysis of Hela cells (right histogram) compared to a negative control cell (left histogram).FITC-conjugated goat-anti-rabbit secondary antibodies were used for the analysis.
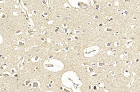
- Immunohistochemical analysis of paraffin-embedded Human brain section using Pink1(Cat#P30269). P30269 was diluted at 1:100 dilution. A undiluted biotinylated goat polyvalent antibody was used as the secondary, followed by DAB staining.
- Formalin-fixed and paraffin-embedded human brain tissue reacted with LGR5/GPR49 antibody (Center) (Cat.#P30269), which was peroxidase-conjugated to the secondary antibody, followed by DAB staining. This data demonstrates the use of this antibody for immunohistochemistry; clinical relevance has not been evaluated.
For Reseach Only
Application Key:WB - Western Blot | IHC - Immunohistochemistry | ICC - Immunocytochemistry | FCM - Flow Cytometry | ELISA - Enzyme-linked Immunosorbent Assay | IP - Immunoprecipitation
#P30269
相关产品

微信/QQ登录


首页
