提醒成功
搜索
Rabbit Polyclonal Antibody to S adenosylhomocysteine hydrolase (ACHY)
-
货号:
P30268 -
别名:
Adenosylhomocysteinase, AdoHcyase, S-adenosyl-L-homocysteine hydrolase, AHCY, SAHH -
应用:
WB,IHC-P -
反应种属:
Human -
抗体类型:
Primary antibody -
Swissprot:
P23526 -
规格:
-
数量:
-+ -
说明书:
目录价¥1980
Rabbit Polyclonal Antibody to S adenosylhomocysteine hydrolase (ACHY)
Description |
|---|
S-adenosylhomocysteine hydrolase (AHCY) catalyzes the reversible hydrolysis of S-adenosylhomocysteine (AdoHcy) to adenosine (Ado) and L-homocysteine (Hcy). Thus, it regulates the intracellular S-adenosylhomocysteine (SAH) concentration thought to be important for transmethylation reactions. Deficiency in this protein is one of the different causes of hypermethioninemia. S-adenosylhomocysteine hydrolase belongs to the adenosylhomocysteinase family. |
Specification |
|
|---|---|
| Aliases | Adenosylhomocysteinase, AdoHcyase, S-adenosyl-L-homocysteine hydrolase, AHCY, SAHH |
| Entrez GeneID | 191 |
| Swissprot | P23526 |
| WB Predicted band size | 47.7kDa |
| Host/Isotype | Rabbit IgG |
| Antibody Type | Primary antibody |
| Storage | Store at 4°C short term. Aliquot and store at -20°C long term. Avoid freeze/thaw cycles. |
| Species Reactivity | Human |
| Immunogen | This S adenosylhomocysteine hydrolase (ACHY) antibody is generated from rabbits immunized with a KLH conjugated synthetic peptide between 407-432 amino acids from the C-terminal region of human S adenosylhomocysteine hydrolase (ACHY). |
| Formulation | Purified antibody in PBS with 0.05% sodium azide,1%BSA and 50% glycerol.prepared by Saturated Ammonium Sulfate (SAS) . |
Application |
|
|---|---|
| WB | 1/1000 |
| IHC | 1/100-1/500 |
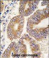
Product Image
- Western blot analysis of anti-AHCY Antibody (C-term)(Cat.#P30268) in HepG2 cell line lysates (35ug/lane). AHCY(arrow) was detected using the purified Pab.
- Formalin-fixed and paraffin-embedded human colon carcinoma tissue reacted with AHCY antibody (C-term) (Cat.#P30268), which was peroxidase-conjugated to the secondary antibody, followed by DAB staining. This data demonstrates the use of this antibody for immunohistochemistry; clinical relevance has not been evaluated.
For Reseach Only
Application Key:WB - Western Blot | IHC - Immunohistochemistry | ICC - Immunocytochemistry | FCM - Flow Cytometry | ELISA - Enzyme-linked Immunosorbent Assay | IP - Immunoprecipitation
#P30268
相关产品

微信/QQ登录


首页
