提醒成功
搜索
Rabbit Polyclonal Antibody to SSR1 (N-term)
-
货号:
P30232 -
别名:
Translocon-associated protein subunit alpha, TRAP-alpha, Signal sequence receptor subunit alpha, SSR-alpha, SSR1, TRAPA -
应用:
WB,IHC-P -
反应种属:
Human, Mouse -
抗体类型:
Primary antibody -
Swissprot:
P43307 -
规格:
-
数量:
-+ -
说明书:
目录价¥1980
Rabbit Polyclonal Antibody to SSR1 (N-term)
Description |
|---|
The signal sequence receptor (SSR) is a glycosylated endoplasmic reticulum (ER) membrane receptor associated with protein translocation across the ER membrane. The SSR consists of 2 subunits, a 34-kD glycoprotein encoded by this gene and a 22-kD glycoprotein. This gene generates several mRNA species as a result of complex alternative polyadenylation. This gene is unusual in that it utilizes arrays of polyA signal sequences that are exclusively non-canonical. |
Specification |
|
|---|---|
| Aliases | Translocon-associated protein subunit alpha, TRAP-alpha, Signal sequence receptor subunit alpha, SSR-alpha, SSR1, TRAPA |
| Entrez GeneID | 6745 |
| Swissprot | P43307 |
| WB Predicted band size | 32.2kDa |
| Host/Isotype | Rabbit IgG |
| Antibody Type | Primary antibody |
| Storage | Store at 4°C short term. Aliquot and store at -20°C long term. Avoid freeze/thaw cycles. |
| Species Reactivity | Human, Mouse |
| Immunogen | This SSR1 antibody is generated from rabbits immunized with a KLH conjugated synthetic peptide between 17-46 amino acids from the N-terminal region of human SSR1. |
| Formulation | Purified antibody in PBS with 0.05% sodium azide,1%BSA and 50% glycerol.prepared by Saturated Ammonium Sulfate (SAS) . |
Application |
|
|---|---|
| WB | 1/1000 |
| IHC | 1/100-1/500 |
Product Image
- Western blot analysis of SSR1 (arrow) using rabbit SSR1 Antibody (N-term). 293 cell lysates (2 ug/lane) either nontransfected (Lane 1) or transiently transfected with the SSR1 gene (Lane 2) (Origene Technologies).
- SSR1 Antibody (N-term) (Cat. #P30232) western blot analysis in Hela,mouse NIH-3T3 cell line lysates (35ug/lane).This demonstrates the SSR1 antibody detected the SSR1 protein (arrow).
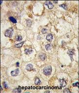
- Formalin-fixed and paraffin-embedded human hepatocarcinoma tissue reacted with SSR1 antibody (N-term) (Cat.#P30232), which was peroxidase-conjugated to the secondary antibody, followed by DAB staining. This data demonstrates the use of this antibody for immunohistochemistry; clinical relevance has not been evaluated.
For Reseach Only
Application Key:WB - Western Blot | IHC - Immunohistochemistry | ICC - Immunocytochemistry | FCM - Flow Cytometry | ELISA - Enzyme-linked Immunosorbent Assay | IP - Immunoprecipitation
#P30232
相关产品

微信/QQ登录


首页
