提醒成功
搜索
Rabbit Polyclonal Antibody to FRAT1
-
货号:
P30231 -
别名:
Proto-oncogene FRAT1, Frequently rearranged in advanced T-cell lymphomas 1, FRAT-1, FRAT1 -
应用:
WB,IHC-P -
反应种属:
Human -
抗体类型:
Primary antibody -
Swissprot:
Q92837 -
规格:
-
数量:
-+ -
说明书:
目录价¥1980
Rabbit Polyclonal Antibody to FRAT1
Description |
|---|
FRAT1 belongs to the GSK-3-binding protein family. It may function in tumor progression and in lymphomagenesis. |
Specification |
|
|---|---|
| Aliases | Proto-oncogene FRAT1, Frequently rearranged in advanced T-cell lymphomas 1, FRAT-1, FRAT1 |
| Entrez GeneID | 10023 |
| Swissprot | Q92837 |
| WB Predicted band size | 29.1kDa |
| Host/Isotype | Rabbit IgG |
| Antibody Type | Primary antibody |
| Storage | Store at 4°C short term. Aliquot and store at -20°C long term. Avoid freeze/thaw cycles. |
| Species Reactivity | Human |
| Immunogen | This FRAT1 antibody is generated from rabbits immunized with a KLH conjugated synthetic peptide between 244-274 amino acids from the C-terminal region of human FRAT1. |
| Formulation | Purified antibody in PBS with 0.05% sodium azide,1%BSA and 50% glycerol.prepared by Saturated Ammonium Sulfate (SAS) . |
Application |
|
|---|---|
| WB | 1/1000 |
| IHC | 1/100-1/500 |
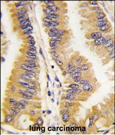
Product Image
- Western blot analysis of lysates from SK-BR-3, K562 cell line (from left to right), using FRAT1 Antibody (C-term)(Cat. #P30231). P30231 was diluted at 1:1000 at each lane. A goat anti-rabbit IgG H&L(HRP) at 1:5000 dilution was used as the secondary antibody. Lysates at 35ug per lane.
- Formalin-fixed and paraffin-embedded human lung carcinoma tissue reacted with FRAT1 antibody (C-term) (Cat.#P30231), which was peroxidase-conjugated to the secondary antibody, followed by DAB staining. This data demonstrates the use of this antibody for immunohistochemistry; clinical relevance has not been evaluated.
For Reseach Only
Application Key:WB - Western Blot | IHC - Immunohistochemistry | ICC - Immunocytochemistry | FCM - Flow Cytometry | ELISA - Enzyme-linked Immunosorbent Assay | IP - Immunoprecipitation
#P30231
相关产品

微信/QQ登录


首页
