提醒成功
搜索
Rabbit Polyclonal Antibody to DRAGON (RGMB)
-
货号:
P30230 -
别名:
RGM domain family member B, DRG11-responsive axonal guidance and outgrowth of neurite, DRAGON, RGMB -
应用:
WB,IHC-P -
反应种属:
Human, Mouse -
抗体类型:
Primary antibody -
Swissprot:
Q6NW40 -
规格:
-
数量:
-+ -
说明书:
目录价¥1980
Rabbit Polyclonal Antibody to DRAGON (RGMB)
Description |
|---|
Repulsive Guidance Molecule B (RGMB) is primarily expressed in the central nervous system. RGM A and B both appear at every level of the developing neural axis, where they colocalize to a large extent in the mantle layer, although only RGMA appears in the neuroepithelium, and only RGMB in the peripheral nervous system. During development, both RGMA and B appear also in lung and in limb cartilage, while RGMB has additional expression domains in pancreas. |
Specification |
|
|---|---|
| Aliases | RGM domain family member B, DRG11-responsive axonal guidance and outgrowth of neurite, DRAGON, RGMB |
| Entrez GeneID | 285704 |
| Swissprot | Q6NW40 |
| WB Predicted band size | 47.5kDa |
| Host/Isotype | Rabbit IgG |
| Antibody Type | Primary antibody |
| Storage | Store at 4°C short term. Aliquot and store at -20°C long term. Avoid freeze/thaw cycles. |
| Species Reactivity | Human, Mouse |
| Immunogen | This DRAGON (RGMB) antibody is generated from rabbits immunized with a KLH conjugated synthetic peptide between 376-406 amino acids from the C-terminal region of human DRAGON (RGMB). |
| Formulation | Purified antibody in PBS with 0.05% sodium azide. |
Application |
|
|---|---|
| WB | 1/1000 |
| IHC | 1/100-1/500 |
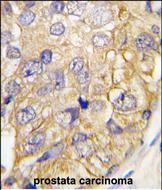
Product Image
- Western blot analysis of DRAGON (RGMB) Antibody (C-term) in K562 cell line lysates (35ug/lane). DRAGON (arrow) was detected using the purified Pab.
- Formalin-fixed and paraffin-embedded human prostata carcinoma tissue reacted with DRAGON (RGMB) (C-term) (Cat.#P30230), which was peroxidase-conjugated to the secondary antibody, followed by DAB staining. This data demonstrates the use of this antibody for immunohistochemistry; clinical relevance has not been evaluated.
For Reseach Only
Application Key:WB - Western Blot | IHC - Immunohistochemistry | ICC - Immunocytochemistry | FCM - Flow Cytometry | ELISA - Enzyme-linked Immunosorbent Assay | IP - Immunoprecipitation
#P30230
相关产品

微信/QQ登录


首页
