提醒成功

搜索
Rabbit Polyclonal Antibody to PIST
-
货号:
P30218 -
别名:
Golgi-associated PDZ and coiled-coil motif-containing protein, CFTR-associated ligand, Fused in glioblastoma, PDZ protein interacting specifically with TC10, PIST, GOPC, CAL, FIG -
应用:
WB,IHC-P -
反应种属:
Human -
抗体类型:
Primary antibody -
Swissprot:
Q9HD26 -
规格:
-
数量:
-+ -
说明书:
目录价¥1980

Rabbit Polyclonal Antibody to PIST
Description |
---|
PDZ domains contain approximately 90 amino acids and bind the extreme C terminus of proteins in a sequence-specific manner. PIST, a PDZ domain-containing Golgi protein, was discovered in a yeast two-hybrid system as a binding partner to Beclin-1, a Bcl-2-interacting protein homologous to the yeast autophagy gene apg6. Experiments with mutant PIST proteins lacking the PDZ domain showed that PIST interaction with Beclin-1 through its coiled-coil domain can modulate Beclin-1 activity and suggest that PIST interactions with other proteins through its PDZ domain may regulate the activity of PIST and Beclin-1. |
Specification |
|
---|---|
Aliases | Golgi-associated PDZ and coiled-coil motif-containing protein, CFTR-associated ligand, Fused in glioblastoma, PDZ protein interacting specifically with TC10, PIST, GOPC, CAL, FIG |
Entrez GeneID | 57120 |
Swissprot | Q9HD26 |
WB Predicted band size | 50.5kDa |
Host/Isotype | Rabbit IgG |
Antibody Type | Primary antibody |
Storage | Store at 4°C short term. Aliquot and store at -20°C long term. Avoid freeze/thaw cycles. |
Species Reactivity | Human |
Immunogen | This PIST antibody is generated from rabbits immunized with a KLH conjugated synthetic peptide between 164-193 amino acids from the Central region of human PIST. |
Formulation | Purified antibody in PBS with 0.05% sodium azide. |
Application |
|
---|---|
WB | 1/1000 |
IHC | 1/100-1/500 |
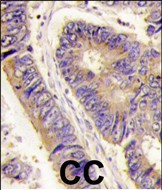
Product Image
- Western blot analysis of PIST Antibody (Center) (Cat.#P30218) in A375 cell line lysates (35ug/lane). PIST (arrow) was detected using the purified Pab.
- Formalin-fixed and paraffin-embedded human colon carcinoma tissue reacted with PIST antibody (Center), which was peroxidase-conjugated to the secondary antibody, followed by DAB staining. This data demonstrates the use of this antibody for immunohistochemistry; clinical relevance has not been evaluated.
For Reseach Only
Application Key:WB - Western Blot | IHC - Immunohistochemistry | ICC - Immunocytochemistry | FCM - Flow Cytometry | ELISA - Enzyme-linked Immunosorbent Assay | IP - Immunoprecipitation
#P30218

相关产品


