提醒成功

搜索
Rabbit Polyclonal Antibody to Myosin 1C (MYO1C)
-
货号:
P30217 -
别名:
Unconventional myosin-Ic, Myosin I beta, MMI-beta, MMIb, MYO1C -
应用:
WB,IHC-P -
反应种属:
Human, Mouse, Rat -
抗体类型:
Primary antibody -
Swissprot:
O00159 -
规格:
-
数量:
-+ -
说明书:
目录价¥1980

Rabbit Polyclonal Antibody to Myosin 1C (MYO1C)
Description |
---|
MYO1C is a member of the unconventional myosin protein family, which are actin-based molecular motors. The protein is found in the cytoplasm, and one isoform with a unique N-terminus is also found in the nucleus. The nuclear isoform associates with RNA polymerase I and II and functions in transcription initiation. The mouse ortholog of this protein also functions in intracellular vesicle transport to the plasma membrane. |
Specification |
|
---|---|
Aliases | Unconventional myosin-Ic, Myosin I beta, MMI-beta, MMIb, MYO1C |
Entrez GeneID | 4641 |
Swissprot | O00159 |
WB Predicted band size | 121.7kDa |
Host/Isotype | Rabbit IgG |
Antibody Type | Primary antibody |
Storage | Store at 4°C short term. Aliquot and store at -20°C long term. Avoid freeze/thaw cycles. |
Species Reactivity | Human, Mouse, Rat |
Immunogen | This Myosin 1C (MYO1C) antibody is generated from rabbits immunized with a KLH conjugated synthetic peptide between 911-940 amino acids from the C-terminal region of human Myosin 1C (MYO1C). |
Formulation | Purified antibody in PBS with 0.05% sodium azide,1%BSA and 50% glycerol.prepared by Saturated Ammonium Sulfate (SAS) . |
Application |
|
---|---|
WB | 1/1000 |
IHC | 1/100-1/500 |
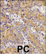
Product Image
- Western blot analysis of MYO1C Antibody (C-term) (Cat.#P30217) in K562 cell line lysates (35ug/lane). MYO1C (arrow) was detected using the purified Pab.
- Formalin-fixed and paraffin-embedded human prostata carcinoma tissue reacted with MYO1C antibody (C-term), which was peroxidase-conjugated to the secondary antibody, followed by DAB staining. This data demonstrates the use of this antibody for immunohistochemistry; clinical relevance has not been evaluated.
For Reseach Only
Application Key:WB - Western Blot | IHC - Immunohistochemistry | ICC - Immunocytochemistry | FCM - Flow Cytometry | ELISA - Enzyme-linked Immunosorbent Assay | IP - Immunoprecipitation
#P30217

相关产品


