提醒成功
搜索
Rabbit Polyclonal Antibody to FXN
-
货号:
P30194 -
别名:
Frataxin, mitochondrial, Friedreich ataxia protein, Fxn, Frataxin intermediate form, i-FXN, Frataxin(56-210), m56-FXN, Frataxin(78-210), d-FXN, m78-FXN, Frataxin mature form, Frataxin(81-210), m81-FXN, FXN, FRDA, X25 -
应用:
WB,IHC-P -
反应种属:
Human -
抗体类型:
Primary antibody -
Swissprot:
Q16595 -
规格:
-
数量:
-+ -
说明书:
目录价¥1980
Rabbit Polyclonal Antibody to FXN
Description |
|---|
FXN is a mitochondrial protein which belongs to the FRATAXIN family. The protein functions in regulating mitochondrial iron transport and respiration. The expansion of intronic trinucleotide repeat GAA results in Friedreich ataxia. |
Specification |
|
|---|---|
| Aliases | Frataxin, mitochondrial, Friedreich ataxia protein, Fxn, Frataxin intermediate form, i-FXN, Frataxin(56-210), m56-FXN, Frataxin(78-210), d-FXN, m78-FXN, Frataxin mature form, Frataxin(81-210), m81-FXN, FXN, FRDA, X25 |
| Entrez GeneID | 2395 |
| Swissprot | Q16595 |
| WB Predicted band size | 23.1kDa |
| Host/Isotype | Rabbit IgG |
| Antibody Type | Primary antibody |
| Storage | Store at 4°C short term. Aliquot and store at -20°C long term. Avoid freeze/thaw cycles. |
| Species Reactivity | Human |
| Immunogen | This FXN antibody is generated from rabbits immunized with a KLH conjugated synthetic peptide between 143-172 amino acids from the C-terminal region of human FXN. |
| Formulation | Purified antibody in PBS with 0.05% sodium azide. |
Application |
|
|---|---|
| WB | 1/1000 |
| IHC | 1/100-1/500 |
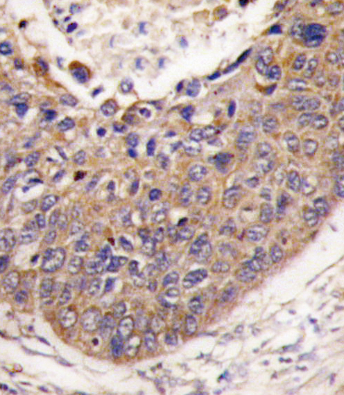
Product Image
- Western blot analysis of anti-FXN Antibody (C-term) (Cat#P30194) in 293 cell line lysates (35ug/lane). FXN (arrow) was detected using the purified Pab.
- Western blot analysis of FXN (arrow) using rabbit polyclonal FXN Antibody (C-term) (RB12571). 293 cell lysates (2 ug/lane) either nontransfected (Lane 1) or transiently transfected with the FXN gene (Lane 2) (Origene Technologies).
- Formalin-fixed and paraffin-embedded human lung carcinoma tissue reacted with FXN antibody (C-term) (Cat.#P30194), which was peroxidase-conjugated to the secondary antibody, followed by DAB staining. This data demonstrates the use of this antibody for immunohistochemistry; clinical relevance has not been evaluated.
For Reseach Only
Application Key:WB - Western Blot | IHC - Immunohistochemistry | ICC - Immunocytochemistry | FCM - Flow Cytometry | ELISA - Enzyme-linked Immunosorbent Assay | IP - Immunoprecipitation
#P30194
相关产品

微信/QQ登录


首页
