提醒成功
搜索
Rabbit Polyclonal Antibody to Phospho-EP300(S89)
-
货号:
P30175 -
别名:
Histone acetyltransferase p300, p300 HAT, E1A-associated protein p300, EP300, P300 -
应用:
WB,IHC-P -
反应种属:
Human -
抗体类型:
Primary antibody -
Swissprot:
Q09472 -
规格:
-
数量:
-+ -
说明书:
目录价¥2180
Rabbit Polyclonal Antibody to Phospho-EP300(S89)
Description |
|---|
EP300 encodes the adenovirus E1A-associated cellular p300 transcriptional co-activator protein. p300 is related by sequence to CPB (CREB-binding protein [CREB: cyclic-AMP responsive element binding protein]), and like CPB can stimulate transcription through activation of CREB. This EP300 activity is specifically inhibited by the adenovirus oncoprotein E1A. EP300 has also been identified as a co-activator of HIF1A (hypoxia-inducible factor 1 alpha), and thus plays a role in the stimulation of hypoxia-induced genes such as VEGF. |
Specification |
|
|---|---|
| Aliases | Histone acetyltransferase p300, p300 HAT, E1A-associated protein p300, EP300, P300 |
| Entrez GeneID | 2033 |
| Swissprot | Q09472 |
| WB Predicted band size | 264.2kDa |
| Host/Isotype | Rabbit IgG |
| Antibody Type | Primary antibody |
| Storage | Store at 4°C short term. Aliquot and store at -20°C long term. Avoid freeze/thaw cycles. |
| Species Reactivity | Human |
| Immunogen | This EP300 Antibody is generated from rabbits immunized with a KLH conjugated synthetic phosphopeptide corresponding to amino acid residues surrounding S89 of human EP300. |
| Formulation | Purified antibody in TBS with 0.05% sodium azide. |
Application |
|
|---|---|
| WB | 1/1000 |
| IHC | 1/100-1/500 |
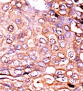
Product Image
- Dot blot analysis of anti-Phospho-EP300-S89 Pab (Cat. #P30175) on nitrocellulose membrane. 50ng of Phospho-peptide (BP3197a) or Non Phospho-peptide per dot were adsorbed. Antobodies working concentration was 0.5ug per ml.
- Formalin-fixed and paraffin-embedded human cancer tissue reacted with the primary antibody, which was peroxidase-conjugated to the secondary antibody, followed by AEC staining. This data demonstrates the use of this antibody for immunohistochemistry; clinical relevance has not been evaluated. BC = breast carcinoma; HC = hepatocarcinoma.
For Reseach Only
Application Key:WB - Western Blot | IHC - Immunohistochemistry | ICC - Immunocytochemistry | FCM - Flow Cytometry | ELISA - Enzyme-linked Immunosorbent Assay | IP - Immunoprecipitation
#P30175
相关产品

微信/QQ登录


首页
