提醒成功

搜索
Rabbit Polyclonal Antibody to MAGEA1
-
货号:
P30091 -
别名:
Melanoma-associated antigen 1, Antigen MZ2-E, Cancer/testis antigen 11, CT11, MAGE-1 antigen, MAGEA1, MAGE1, MAGE1A -
应用:
WB,IHC-P -
反应种属:
Human -
抗体类型:
Primary antibody -
Swissprot:
P43355 -
规格:
-
数量:
-+ -
说明书:
目录价¥1980

Rabbit Polyclonal Antibody to MAGEA1
Description |
---|
MAGEA1 is a member of the MAGEA gene family. The members of this family have their entire coding sequences located in the last exon, and the encoded proteins show 50 to 80% sequence identity between each other. The promoters and first exons of the MAGEA genes show considerable variability, suggesting that the existence of this gene family enables the same function to be expressed under different transcriptional controls. The MAGEA genes are expressed at a high level in a number of tumors of various histologic types, and are silent in normal tissues with the exception of testis and placenta. The MAGEA genes are clustered on chromosome Xq28. They may be implicated in some hereditary disorders, such as dyskeratosis congenita. |
Specification |
|
---|---|
Aliases | Melanoma-associated antigen 1, Antigen MZ2-E, Cancer/testis antigen 11, CT11, MAGE-1 antigen, MAGEA1, MAGE1, MAGE1A |
Entrez GeneID | 4100 |
Swissprot | P43355 |
WB Predicted band size | 34.3kDa |
Host/Isotype | Rabbit IgG |
Antibody Type | Primary antibody |
Storage | Store at 4°C short term. Aliquot and store at -20°C long term. Avoid freeze/thaw cycles. |
Species Reactivity | Human |
Immunogen | This MAGEA1 antibody is generated from rabbits immunized with a KLH conjugated synthetic peptide between 143-173 amino acids from the Central region of human MAGEA1. |
Formulation | Purified antibody in PBS with 0.05% sodium azide. |
Application |
|
---|---|
WB | 1/1000 |
IHC | 1/100-1/500 |
Product Image
- Western blot analysis of anti-MAGEA1 Antibody (Center) (RB02082) in Hela cell line lysates (35ug/lane). MAGEA1(arrow) was detected using the purified Pab.
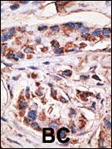
- Formalin-fixed and paraffin-embedded human cancer tissue reacted with the primary antibody, which was peroxidase-conjugated to the secondary antibody, followed by DAB staining. This data demonstrates the use of this antibody for immunohistochemistry; clinical relevance has not been evaluated. BC = breast carcinoma; HC = hepatocarcinoma.
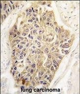
- Formalin-fixed and paraffin-embedded human lung carcinoma tissue reacted with MAGEA1 Antibody (Center) (Cat.#P30091), which was peroxidase-conjugated to the secondary antibody, followed by DAB staining. This data demonstrates the use of this antibody for immunohistochemistry; clinical relevance has not been evaluated.
For Reseach Only
Application Key:WB - Western Blot | IHC - Immunohistochemistry | ICC - Immunocytochemistry | FCM - Flow Cytometry | ELISA - Enzyme-linked Immunosorbent Assay | IP - Immunoprecipitation
#P30091

相关产品


