提醒成功

搜索
Rabbit Polyclonal Antibody to AIK (N-term)
-
货号:
P30026 -
别名:
Aurora kinase A, Aurora 2, Aurora/IPL1-related kinase 1, ARK-1, Aurora-related kinase 1, hARK1, Breast tumor-amplified kinase, Serine/threonine-protein kinase 15, Serine/threonine-protein kinase 6, Serine/threonine-protein kinase aurora-A, AURKA -
应用:
WB,IHC-P -
反应种属:
Human -
抗体类型:
Primary antibody -
Swissprot:
O14965 -
规格:
-
数量:
-+ -
说明书:
目录价¥1980

Rabbit Polyclonal Antibody to AIK (N-term)
Description |
---|
Aurora A (AIK) plays a role in cell cycle regulation during anaphase and/or telophase, in relation to the function of the centrosome/spindle pole region during chromosome segregation. Aurora A plays a key role during tumor development and progression and is overexpressed in many human cancers including breast, ovarian and colorectal. Aurora A is viewed as a potential target for anticancer drug treatment. |
Specification |
|
---|---|
Aliases | Aurora kinase A, Aurora 2, Aurora/IPL1-related kinase 1, ARK-1, Aurora-related kinase 1, hARK1, Breast tumor-amplified kinase, Serine/threonine-protein kinase 15, Serine/threonine-protein kinase 6, Serine/threonine-protein kinase aurora-A, AURKA |
Entrez GeneID | 6790 |
Swissprot | O14965 |
WB Predicted band size | 45.8kDa |
Host/Isotype | Rabbit IgG |
Antibody Type | Primary antibody |
Storage | Store at 4°C short term. Aliquot and store at -20°C long term. Avoid freeze/thaw cycles. |
Species Reactivity | Human |
Immunogen | This AIK antibody is generated from rabbits immunized with a KLH conjugated synthetic peptide between 90-120 amino acids from the N-terminal region of human AIK. |
Formulation | Purified antibody in PBS with 0.05% sodium azide. |
Application |
|
---|---|
WB | 1/1000 |
IHC | 1/100-1/500 |
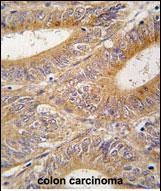
Product Image
- Western blot analysis of AIK (arrow) using rabbit polyclonal hAIK-H105 (Cat. #P30026). 293 cell lysates (2 ug/lane) either nontransfected (Lane 1) or transiently transfected with the AIK gene (Lane 2) (Origene Technologies).
- Formalin-fixed and paraffin-embedded human cancer tissue reacted with the primary antibody, which was peroxidase-conjugated to the secondary antibody, followed by DAB staining. This data demonstrates the use of this antibody for immunohistochemistry; clinical relevance has not been evaluated. BC = breast carcinoma; HC = hepatocarcinoma.
- Formalin-fixed and paraffin-embedded human colon carcinoma tissue reacted with AIK antibody (N-term) (Cat.#P30026), which was peroxidase-conjugated to the secondary antibody, followed by DAB staining. This data demonstrates the use of this antibody for immunohistochemistry; clinical relevance has not been evaluated.
For Reseach Only
Application Key:WB - Western Blot | IHC - Immunohistochemistry | ICC - Immunocytochemistry | FCM - Flow Cytometry | ELISA - Enzyme-linked Immunosorbent Assay | IP - Immunoprecipitation
#P30026

相关产品


